ZAP70 Monoclonal Mouse Antibody (ZAP70/2046)
CONJUGATION
产品详情
产品属性
常见问题
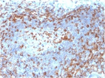
ZAP70 是一种在 T 细胞和自然杀伤细胞中发现的 70 kDa 蛋白酪氨酸激酶。这种蛋白质翻译的控制是通过 IgVH 基因进行的。ZAP70 蛋白质也在大约 25% 的慢性淋巴细胞白血病 (CLL) 病例的白血病细胞中表达。抗 ZAP70 表达是区分 Ig 突变(抗 ZAP70 阴性)和 Ig 未突变(抗 ZAP70 阳性)CLL 亚型的极佳替代标记,并且可以识别具有不同临床过程的患者组。抗 ZAP70 阳性 Ig 未突变的 CLL 病例已显示预后较差。
可提供纯化的一抗,或带有精选的荧光 CF® 染料和其他标记的一抗。CF® 染料具有出色的亮度和耐光性。有关详细信息,请参阅CF® 染料手册。注意:不推荐使用 CF®405S 和 CF®405M 等蓝色荧光染料的偶联物来检测低丰度目标,因为蓝色染料的荧光较低,与其他染料颜色相比可以产生更高的非特异性背景。
库存状态:由于 Biotium 提供大量抗体和偶联物选项,一抗偶联物可能需要定制。CF® 染料和生物素结合物的典型交货时间最长为 1 周,荧光蛋白和酶结合物的交货时间通常为 2-3 周。
产品推荐
TrueBlack® Lipofuscin Autofluorescence Quencher
产品编号:
23007
详细视图
Paraformaldehyde, 4% in PBS, Ready-to-Use Fixative
产品编号:
22023
详细视图
EverBrite™ Mounting Medium
产品编号:
23002
- 23001
详细视图
CoverGrip™ Coverslip Sealant
产品编号:
23005
- 23005-1
详细视图
RedDot™2 Far-Red Nuclear Stain, 200X in DMSO
产品编号:
40061-T
- 40061-1
查看全部
详细视图
AntiFix™ Universal Antigen Retrieval Buffer, 10X
产品编号:
22030-50mL
- 22030-500mL
详细视图





