Tryptase Monoclonal Mouse Antibody (TPSAB1/1963)
CONJUGATION
产品详情
产品属性
常见问题
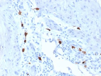
类胰蛋白酶包含一个胰蛋白酶样丝氨酸蛋白酶家族(肽酶家族 S1)。类胰蛋白酶储存在肥大细胞分泌颗粒和嗜碱性粒细胞中。肥大细胞是结缔组织细胞,来源于造血组织,排列在动脉壁上并分泌介导炎症和免疫反应的物质。类胰蛋白酶被释放到细胞外环境中,并且对所有已知的内源性蛋白酶抑制剂具有抗性。该抗体与分布在皮肤、滑膜、肺和心脏中的肥大细胞发生反应。该抗体不与任何其他细胞类型结合。人肥大细胞类胰蛋白酶被认为是肥大细胞活化的重要标志物,是炎症的重要介质。肥大细胞增多症是一组疾病的统称,其中肥大细胞在一个或多个器官中异常积聚。抗类胰蛋白酶与抗 CD2、抗 CD25 和抗 CD117 相结合,可用于识别反应性肥大细胞增生、骨髓性肿瘤、肥大细胞白血病和肥大细胞增多症。
可提供纯化的一抗,或带有精选的荧光 CF® 染料和其他标记的一抗。CF® 染料具有出色的亮度和耐光性。有关详细信息,请参阅CF® 染料手册。注意:不推荐使用 CF®405S 和 CF®405M 等蓝色荧光染料的偶联物来检测低丰度目标,因为蓝色染料的荧光较低,与其他染料颜色相比可以产生更高的非特异性背景。
库存状态:由于 Biotium 提供大量抗体和偶联物选项,一抗偶联物可能需要定制。CF® 染料和生物素结合物的典型交货时间最长为 1 周,荧光蛋白和酶结合物的交货时间通常为 2-3 周。
一抗偶联物的目录号
| Antibody # prefix | Conjugation | Ex/Em (nm) | Laser line | Detection channel | Dye Features |
|---|---|---|---|---|---|
| BNC04 | CF®405S | 404/431 | 405 | DAPI (microscopy), AF405 | CF®405S Features |
| BNC88 | CF®488A | 490/515 | 488 | GFP, FITC | CF®488A Features |
| BNC68 | CF®568 | 562/583 | 532, 561 | RFP, TRITC | CF®568 Features |
| BNC94 | CF®594 | 593/614 | 561 | Texas Red® | CF®594 Features |
| BNC40 | CF®640R | 642/662 | 633-640 | Cy®5 | CF®640R Features |
| BNC47 | CF®647 | 650/665 | 633-640 | Cy®5 | CF®647 Features |
| BNCB | Biotin | N/A | N/A | N/A | |
| BNUB | Purified | N/A | N/A | N/A | |
| BNUM | Purified, BSA-free | N/A | N/A | N/A |
Alexa Fluor、Pacific Blue、Pacific Orange 和 Texas Red 是 Thermo Fisher Scientific 的商标或注册商标;Cy 是 Cytiva 的注册商标;IRDye、LI-COR 和 Odyssey 是 LI-COR Bioscience 的注册商标。
产品推荐
TrueBlack® Lipofuscin Autofluorescence Quencher
产品编号:
23007
详细视图
Paraformaldehyde, 4% in PBS, Ready-to-Use Fixative
产品编号:
22023
详细视图
EverBrite™ Mounting Medium
产品编号:
23002
- 23001
详细视图
CoverGrip™ Coverslip Sealant
产品编号:
23005
- 23005-1
详细视图
RedDot™2 Far-Red Nuclear Stain, 200X in DMSO
产品编号:
40061-T
- 40061-1
查看全部
详细视图
AntiFix™ Universal Antigen Retrieval Buffer, 10X
产品编号:
22030-50mL
- 22030-500mL
详细视图



