TRAcP Recombinant Monoclonal Rabbit Antibody (ACP5/2336R)
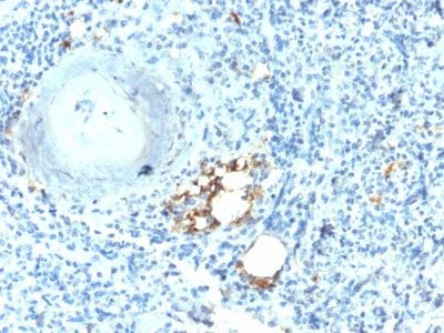
该抗体识别一种 35 kDa 的蛋白质,该蛋白质被鉴定为抗酒石酸酸性磷酸酶 (TRAcP)。它以两种亚型(5a 和 5b)存在。该 MAb 与两种同种型都发生反应。血清 TRAcP 5a 由巨噬细胞和树突状细胞分泌,在许多类风湿性关节炎患者中升高。血清 TRAcP 5b 由破骨细胞产生,并在骨吸收过程中升高。TRAcP 是一种含铁糖蛋白,可催化正磷酸单酯转化为醇和正磷酸盐。它是酸性磷酸酶中最碱性的,并且是唯一不受 L()-酒石酸盐抑制的形式。TRAcP 作为潜在的酶原合成,并通过蛋白水解切割和还原激活。正常情况下,TRAcP 在妊娠期间由破骨细胞、活化的巨噬细胞、神经元和子宫内膜高表达。TRAcP 的表达在某些病理条件下增加,例如白血病网状内皮细胞增多症(毛细胞白血病)、戈谢氏病、HIV 诱导的脑病、破骨细胞瘤以及骨质疏松症和代谢性骨病。抗 TRAcP 抗体以高度的敏感性和特异性标记毛细胞白血病 (HCL) 细胞。用这种抗体染色的其他细胞是组织巨噬细胞和破骨细胞。
可提供纯化的一抗,或带有精选的荧光 CF® 染料和其他标记的一抗。CF® 染料具有出色的亮度和耐光性。有关详细信息,请参阅CF® 染料手册。注意:不推荐使用 CF®405S 和 CF®405M 等蓝色荧光染料的偶联物来检测低丰度目标,因为蓝色染料的荧光较低,与其他染料颜色相比可以产生更高的非特异性背景。
库存状态:由于 Biotium 提供大量抗体和偶联物选项,一抗偶联物可能需要定制。CF® 染料和生物素结合物的典型交货时间最长为 1 周,荧光蛋白和酶结合物的交货时间通常为 2-3 周。
抗体编号 2336 的目录号代码,Anti-TRAcP (ACP5/2336R)
一抗偶联物的目录号
| Antibody # prefix | Conjugation | Ex/Em (nm) | Laser line | Detection channel | Dye Features |
|---|---|---|---|---|---|
| BNC04 | CF®405S | 404/431 | 405 | DAPI (microscopy), AF405 | CF®405S Features |
| BNC88 | CF®488A | 490/515 | 488 | GFP, FITC | CF®488A Features |
| BNC68 | CF®568 | 562/583 | 532, 561 | RFP, TRITC | CF®568 Features |
| BNC94 | CF®594 | 593/614 | 561 | Texas Red® | CF®594 Features |
| BNC40 | CF®640R | 642/662 | 633-640 | Cy®5 | CF®640R Features |
| BNC47 | CF®647 | 650/665 | 633-640 | Cy®5 | CF®647 Features |
| BNCB | Biotin | N/A | N/A | N/A | |
| BNUB | Purified | N/A | N/A | N/A | |
| BNUM | Purified, BSA-free | N/A | N/A | N/A |
Alexa Fluor、Pacific Blue、Pacific Orange 和 Texas Red 是 Thermo Fisher Scientific 的商标或注册商标;Cy 是 Cytiva 的注册商标;IRDye、LI-COR 和 Odyssey 是 LI-COR Bioscience 的注册商标。




