TNF-Alpha Monoclonal Mouse Antibody (TNF706 + P/T2)
CONJUGATION
产品详情
产品属性
常见问题
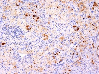
TNF α 是由脂多糖刺激的巨噬细胞分泌的一种蛋白质,当注射到荷瘤小鼠体内时会导致肿瘤坏死。TNF α 以两个、三个或五个非共价连接单元的多聚体形式存在,但在非还原条件下进行 SDS PAGE 后显示单个 17 kDa 条带。TNF α 引起某些转化细胞的细胞溶解。尽管它对许多培养的正常人体细胞几乎没有影响,但 TNF α 似乎对血管内皮细胞具有直接毒性。TNF α 的其他作用包括刺激人成纤维细胞和其他细胞系的生长,激活多形核中性粒细胞和破骨细胞,以及诱导白细胞介素 1、前列腺素 E2 和胶原酶的产生。目前正在评估 TNF α 在治疗某些癌症和 AIDS 相关综合症方面的作用。
该抗体可用 200 ug/mL 的 BSA/叠氮化物纯化,或 1 mg/mL 的无 BSA/叠氮化物纯化。
产品推荐
TrueBlack® Lipofuscin Autofluorescence Quencher
产品编号:
23007
详细视图
Paraformaldehyde, 4% in PBS, Ready-to-Use Fixative
产品编号:
22023
详细视图
EverBrite™ Mounting Medium
产品编号:
23002
- 23001
详细视图
CoverGrip™ Coverslip Sealant
产品编号:
23005
- 23005-1
详细视图
RedDot™2 Far-Red Nuclear Stain, 200X in DMSO
产品编号:
40061-T
- 40061-1
查看全部
详细视图
AntiFix™ Universal Antigen Retrieval Buffer, 10X
产品编号:
22030-50mL
- 22030-500mL
详细视图



