TNF-Alpha Monoclonal Mouse Antibody (P/T2)
CONJUGATION
产品详情
产品属性
常见问题
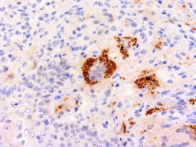
肿瘤坏死因子α (TNF α) 是由脂多糖刺激的巨噬细胞分泌的一种蛋白质,当注射到荷瘤小鼠体内时会导致肿瘤坏死。TNF α被认为介导与内毒素血症相关的致病性休克和组织损伤。TNF α 以两个、三个或五个非共价连接单元的多聚体形式存在,但在非还原条件下进行 SDS PAGE 后显示单个 17 kDa 条带。TNF α 与 25 kDa 蛋白质肿瘤坏死因子 β(淋巴毒素)密切相关,具有相同的受体和细胞作用。TNF α 引起某些转化细胞的细胞溶解,在其细胞毒性方面与干扰素 γ 协同作用。尽管它对许多培养的正常人体细胞几乎没有影响,但 TNF α 似乎对血管内皮细胞具有直接毒性。
该抗体可用 200 ug/mL 的 BSA/叠氮化物纯化,或 1 mg/mL 的无 BSA/叠氮化物纯化。
产品推荐
TrueBlack® Lipofuscin Autofluorescence Quencher
产品编号:
23007
详细视图
Paraformaldehyde, 4% in PBS, Ready-to-Use Fixative
产品编号:
22023
详细视图
EverBrite™ Mounting Medium
产品编号:
23002
- 23001
详细视图
CoverGrip™ Coverslip Sealant
产品编号:
23005
- 23005-1
详细视图
RedDot™2 Far-Red Nuclear Stain, 200X in DMSO
产品编号:
40061-T
- 40061-1
查看全部
详细视图
AntiFix™ Universal Antigen Retrieval Buffer, 10X
产品编号:
22030-50mL
- 22030-500mL
详细视图



