TIM3 / HAVCR2 / CD366 Monoclonal Mouse Antibody (HAVCR2/192)
CONJUGATION
产品详情
产品属性
常见问题
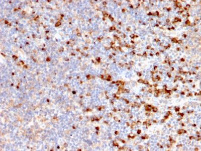
TIM 是 I 型跨膜糖蛋白,具有一个 Ig 样 V 型结构域和一个富含 Ser/Thr 的粘蛋白茎。TIM-3 在效应 T 细胞(CD4 Th1 和 CD8 Tc1)表面表达,但不在辅助 T 细胞(CD4 Th2 和 CD8 Tc2)表面表达。在慢性炎症、自身免疫性疾病和某些癌症中,TIM-3 在其他几种造血细胞类型上被上调。TIM-3 的 Ig 结构域与静息但未激活的 Th1 和 Th2 细胞上的配体相互作用。TIM-3 的糖基化 Ig 结构域结合细胞相关半乳糖凝集素 9。这会诱导 TIM-3 Tyr 磷酸化和促凋亡信号。TIM-3 作为 Th1 细胞活性的负调节剂发挥作用。它的阻断导致 IFN-γ 产生增加、Th1 细胞增殖和细胞毒性、调节性 T 细胞发育、
可提供纯化的一抗,或带有精选的荧光 CF® 染料和其他标记的一抗。CF® 染料具有出色的亮度和耐光性。有关详细信息,请参阅CF® 染料手册。注意:不推荐使用 CF®405S 和 CF®405M 等蓝色荧光染料的偶联物来检测低丰度目标,因为蓝色染料的荧光较低,与其他染料颜色相比可以产生更高的非特异性背景。
库存状态:由于 Biotium 提供大量抗体和偶联物选项,一抗偶联物可能需要定制。CF® 染料和生物素结合物的典型交货时间最长为 1 周,荧光蛋白和酶结合物的交货时间通常为 2-3 周。
一抗偶联物的目录号
| Antibody # prefix | Conjugation | Ex/Em (nm) | Laser line | Detection channel | Dye Features |
|---|---|---|---|---|---|
| BNC04 | CF®405S | 404/431 | 405 | DAPI (microscopy), AF405 | CF®405S Features |
| BNC88 | CF®488A | 490/515 | 488 | GFP, FITC | CF®488A Features |
| BNC68 | CF®568 | 562/583 | 532, 561 | RFP, TRITC | CF®568 Features |
| BNC94 | CF®594 | 593/614 | 561 | Texas Red® | CF®594 Features |
| BNC40 | CF®640R | 642/662 | 633-640 | Cy®5 | CF®640R Features |
| BNC47 | CF®647 | 650/665 | 633-640 | Cy®5 | CF®647 Features |
| BNCB | Biotin | N/A | N/A | N/A | |
| BNUB | Purified | N/A | N/A | N/A | |
| BNUM | Purified, BSA-free | N/A | N/A | N/A |
产品推荐
TrueBlack® Lipofuscin Autofluorescence Quencher
产品编号:
23007
详细视图
Paraformaldehyde, 4% in PBS, Ready-to-Use Fixative
产品编号:
22023
详细视图
EverBrite™ Mounting Medium
产品编号:
23002
- 23001
详细视图
CoverGrip™ Coverslip Sealant
产品编号:
23005
- 23005-1
详细视图
RedDot™2 Far-Red Nuclear Stain, 200X in DMSO
产品编号:
40061-T
- 40061-1
查看全部
详细视图
AntiFix™ Universal Antigen Retrieval Buffer, 10X
产品编号:
22030-50mL
- 22030-500mL
详细视图



