TGF-Alpha Monoclonal Mouse Antibody (TG86 + P/T1)
CONJUGATION
产品详情
产品属性
常见问题
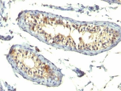
该抗体与 TGF α 反应,与 EGF 和神经肽 synenkephalin 没有交叉反应。这种 MAb 的染色完全被用于产生这种抗体的肽所阻断。TGF-β (aa50) 是一种与 EGF 具有 33% 同源性的生长因子,可与 EGFR 结合,激活受体的酪氨酸磷酸化,并刺激细胞增殖。它通过诱导可逆转化表型在肿瘤起始中发挥作用。
该抗体可用 200 ug/mL 的 BSA/叠氮化物纯化,或 1 mg/mL 的无 BSA/叠氮化物纯化。
产品推荐
TrueBlack® Lipofuscin Autofluorescence Quencher
产品编号:
23007
详细视图
Paraformaldehyde, 4% in PBS, Ready-to-Use Fixative
产品编号:
22023
详细视图
EverBrite™ Mounting Medium
产品编号:
23002
- 23001
详细视图
CoverGrip™ Coverslip Sealant
产品编号:
23005
- 23005-1
详细视图
RedDot™2 Far-Red Nuclear Stain, 200X in DMSO
产品编号:
40061-T
- 40061-1
查看全部
详细视图
AntiFix™ Universal Antigen Retrieval Buffer, 10X
产品编号:
22030-50mL
- 22030-500mL
详细视图



