RNA Polymerase II CTD Repeat YSPTSPS Monoclonal Mouse Antibody (CTD 8A7)
CONJUGATION
产品详情
产品属性
常见问题
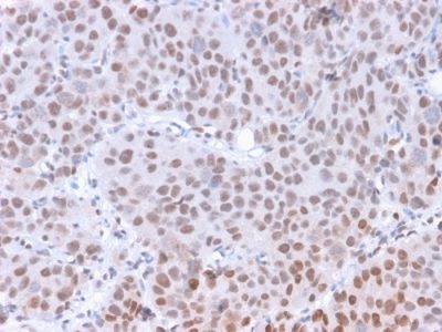
RNA 聚合酶 II (Pol II) 是一种由 12 个亚基组成的酶,负责蛋白质编码基因的转录。转录起始需要 Pol II 介导的转录机制募集到目标启动子,从而允许转录开始。Pol II 的最大亚基(称为 RPB1 或 RPB205)是一种 1,840 个氨基酸的蛋白质,包含一个 C2H2 型锌指和一个由多个七肽重复序列组成的 C 末端结构域。尽管 Pol II 功能需要所有十二个亚基的合作,但最大的亚基传递 Pol II 催化活性,并与第二大亚基一起形成 Pol II 酶的活性中心。此外,大亚基参与形成 Pol II 的 DNA 结合域,DNA 模板转录所必需的凹槽。没有大亚基的适当功能,就不能发生 mRNA 合成和随后的转录延伸。
该抗体可纯化,含 BSA 和叠氮化物 (0.2 mg/mL),或纯化后不含 BSA 和叠氮化物 (1 mg/mL)。
产品推荐
TrueBlack® Lipofuscin Autofluorescence Quencher
产品编号:
23007
详细视图
Paraformaldehyde, 4% in PBS, Ready-to-Use Fixative
产品编号:
22023
详细视图
EverBrite™ Mounting Medium
产品编号:
23002
- 23001
详细视图
CoverGrip™ Coverslip Sealant
产品编号:
23005
- 23005-1
详细视图
RedDot™2 Far-Red Nuclear Stain, 200X in DMSO
产品编号:
40061-T
- 40061-1
查看全部
详细视图
AntiFix™ Universal Antigen Retrieval Buffer, 10X
产品编号:
22030-50mL
- 22030-500mL
详细视图



