Plasma Cell Marker Monoclonal Mouse Antibody (LIV3G11, same as 7B18)
CONJUGATION
产品详情
产品属性
常见问题
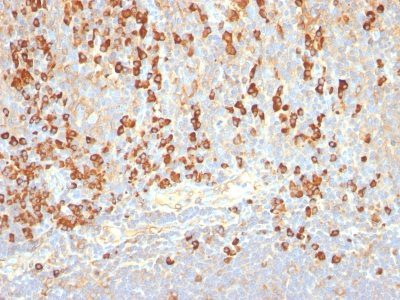
该抗体可识别细胞质内抗原,该抗原对浆细胞显示出非常高的特异性。该抗原存在于正常浆细胞和肿瘤浆细胞中。浆细胞是源自抗原特异性 B 细胞的大淋巴细胞,可分泌抗体并负责体液免疫。在 CD4 淋巴细胞的刺激下,浆细胞从 B 细胞分化。B 细胞充当抗原呈递细胞 (APC),消耗有害病原体,该病原体通过吞噬作用被 B 细胞吸收并在蛋白体中分解。浆细胞含有嗜碱性细胞质;它们的细胞核包含以特有的车轮排列方式组织的异染色质。该 MAb 可出色地识别常规福尔马林固定、石蜡包埋组织切片中的正常和肿瘤性浆细胞。它对鉴别骨髓或其他组织中的骨髓瘤或浆细胞瘤具有潜在价值。它还有助于区分淋巴浆细胞样淋巴瘤与淋巴细胞和滤泡性淋巴瘤。请注意,该 MAb 不适用于冷冻组织的染色。
可提供纯化的一抗,或带有精选的荧光 CF® 染料和其他标记的一抗。CF® 染料具有出色的亮度和耐光性。有关详细信息,请参阅CF® 染料手册。注意:不推荐使用 CF®405S 和 CF®405M 等蓝色荧光染料的偶联物来检测低丰度目标,因为蓝色染料的荧光较低,与其他染料颜色相比可以产生更高的非特异性背景。
库存状态:由于 Biotium 提供大量抗体和偶联物选项,一抗偶联物可能需要定制。CF® 染料和生物素结合物的典型交货时间最长为 1 周,荧光蛋白和酶结合物的交货时间通常为 2-3 周。
抗体编号 0047 的目录号代码,抗浆细胞标记物(LIV3G11;与 7B18 相同)
一抗偶联物的目录号
| Antibody # prefix | Conjugation | Ex/Em (nm) | Laser line | Detection channel | Dye Features |
|---|---|---|---|---|---|
| BNC04 | CF®405S | 404/431 | 405 | DAPI (microscopy), AF405 | CF®405S Features |
| BNC88 | CF®488A | 490/515 | 488 | GFP, FITC | CF®488A Features |
| BNC68 | CF®568 | 562/583 | 532, 561 | RFP, TRITC | CF®568 Features |
| BNC94 | CF®594 | 593/614 | 561 | Texas Red® | CF®594 Features |
| BNC40 | CF®640R | 642/662 | 633-640 | Cy®5 | CF®640R Features |
| BNC47 | CF®647 | 650/665 | 633-640 | Cy®5 | CF®647 Features |
| BNCB | Biotin | N/A | N/A | N/A | |
| BNUB | Purified | N/A | N/A | N/A | |
| BNUM | Purified, BSA-free | N/A | N/A | N/A |
产品推荐
TrueBlack® Lipofuscin Autofluorescence Quencher
产品编号:
23007
详细视图
Paraformaldehyde, 4% in PBS, Ready-to-Use Fixative
产品编号:
22023
详细视图
EverBrite™ Mounting Medium
产品编号:
23002
- 23001
详细视图
CoverGrip™ Coverslip Sealant
产品编号:
23005
- 23005-1
详细视图
RedDot™2 Far-Red Nuclear Stain, 200X in DMSO
产品编号:
40061-T
- 40061-1
查看全部
详细视图
AntiFix™ Universal Antigen Retrieval Buffer, 10X
产品编号:
22030-50mL
- 22030-500mL
详细视图



