p57 / KIP2 Monoclonal Mouse Antibody (KIP2/880)
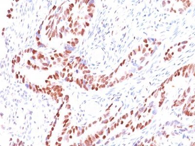
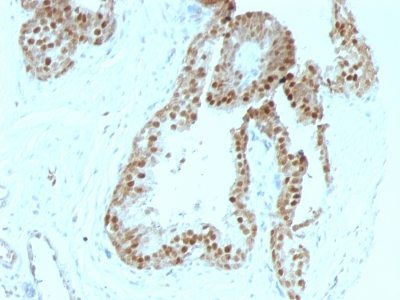
识别 57 kDa 的蛋白质,鉴定为 p57Kip2。它显示与 p27Kip1 没有交叉反应。p57Kip2 是几种 G1 细胞周期蛋白复合物的有效紧密结合抑制剂,并且是细胞增殖的负调节因子。抗 p57 已被用作从部分葡萄胎 (PHM) 中鉴定完全葡萄胎 (CHM)(细胞滋养细胞和基质细胞无核标记)的辅助工具,其中细胞滋养细胞和基质细胞均染色。完全性葡萄胎、部分性葡萄胎和水肿性自然流产的组织学分化存在问题。大多数完整的葡萄胎是二倍体,而大多数部分葡萄胎是三倍体。倍性研究将识别部分葡萄胎,但不会将完全葡萄胎与非葡萄胎妊娠区分开来。完整的痣携带持续性疾病和绒毛膜癌的高风险,而部分痣的风险非常低。在正常胎盘中,许多细胞滋养层细胞核和基质细胞都被这种抗体标记。类似的发现适用于 PHM 和水肿流产组织。绒毛间滋养细胞岛 (IVTI) 在所有三个实体中都显示出核标记,并作为内部控制。
可提供纯化的一抗,或带有精选的荧光 CF® 染料和其他标记的一抗。CF® 染料具有出色的亮度和耐光性。有关详细信息,请参阅CF® 染料手册。注意:不推荐使用 CF®405S 和 CF®405M 等蓝色荧光染料的偶联物来检测低丰度目标,因为蓝色染料的荧光较低,与其他染料颜色相比可以产生更高的非特异性背景。
库存状态:由于 Biotium 提供大量抗体和偶联物选项,一抗偶联物可能需要定制。CF® 染料和生物素结合物的典型交货时间最长为 1 周,荧光蛋白和酶结合物的交货时间通常为 2-3 周。
抗体编号 0880 的目录号代码,抗 KIP2 (KIP2/880)
一抗偶联物的目录号
| Antibody # prefix | Conjugation | Ex/Em (nm) | Laser line | Detection channel | Dye Features |
|---|---|---|---|---|---|
| BNC04 | CF®405S | 404/431 | 405 | DAPI (microscopy), AF405 | CF®405S Features |
| BNC88 | CF®488A | 490/515 | 488 | GFP, FITC | CF®488A Features |
| BNC68 | CF®568 | 562/583 | 532, 561 | RFP, TRITC | CF®568 Features |
| BNC94 | CF®594 | 593/614 | 561 | Texas Red® | CF®594 Features |
| BNC40 | CF®640R | 642/662 | 633-640 | Cy®5 | CF®640R Features |
| BNC47 | CF®647 | 650/665 | 633-640 | Cy®5 | CF®647 Features |
| BNCB | Biotin | N/A | N/A | N/A | |
| BNUB | Purified | N/A | N/A | N/A | |
| BNUM | Purified, BSA-free | N/A | N/A | N/A |
Alexa Fluor、Pacific Blue、Pacific Orange 和 Texas Red 是 Thermo Fisher Scientific 的商标或注册商标;Cy 是 GE Healthcare 的注册商标;IRDye、LI-COR 和 Odyssey 是 LI-COR Bioscience 的注册商标。




