Mucin 16 / MUC16 / CA125 Monoclonal Mouse Antibody (MUC16/1860)
CONJUGATION
产品详情
产品属性
常见问题
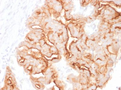
粘蛋白是一个高度糖基化的分泌蛋白家族,其基本结构由可变数量的串联重复序列 (VNTR) 组成。膜相关和分泌性粘蛋白是糖萼(多糖生物膜)的高分子量糖蛋白,可保护粘膜上皮细胞免受颗粒物质和微生物的侵害。上皮粘蛋白是大的、分泌的和细胞表面的糖蛋白,对于粘附调节、信号传导和上皮细胞保护至关重要。重复的数量是高度多态的,并且在不同的等位基因之间变化。粘蛋白家族由粘蛋白 1-4、粘蛋白 5(AC 和 B)、粘蛋白 6-8、粘蛋白 11-13 和粘蛋白 15-17 组成。由 MUC16 基因编码的粘蛋白 16 蛋白(通常也称为 CA125)是一种非常高分子量的肿瘤抗原,由三个结构域组成:羧基末端结构域、胞外结构域和氨基末端结构域。粘蛋白 16 是一种卵巢癌相关抗原,被用作监测上皮性卵巢癌进展的标志物。它是一种亲水性膜相关蛋白,可能参与维生素 A 的功能。
可提供纯化的一抗,或带有精选的荧光 CF® 染料和其他标记的一抗。CF® 染料具有出色的亮度和耐光性。有关详细信息,请参阅CF® 染料手册。注意:不推荐使用 CF®405S 和 CF®405M 等蓝色荧光染料的偶联物来检测低丰度目标,因为蓝色染料的荧光较低,与其他染料颜色相比可以产生更高的非特异性背景。
库存状态:由于 Biotium 提供大量抗体和偶联物选项,一抗偶联物可能需要定制。CF® 染料和生物素结合物的典型交货时间最长为 1 周,荧光蛋白和酶结合物的交货时间通常为 2-3 周。
一抗偶联物的目录号
| Antibody # prefix | Conjugation | Ex/Em (nm) | Laser line | Detection channel | Dye Features |
|---|---|---|---|---|---|
| BNC04 | CF®405S | 404/431 | 405 | DAPI (microscopy), AF405 | CF®405S Features |
| BNC88 | CF®488A | 490/515 | 488 | GFP, FITC | CF®488A Features |
| BNC68 | CF®568 | 562/583 | 532, 561 | RFP, TRITC | CF®568 Features |
| BNC94 | CF®594 | 593/614 | 561 | Texas Red® | CF®594 Features |
| BNC40 | CF®640R | 642/662 | 633-640 | Cy®5 | CF®640R Features |
| BNC47 | CF®647 | 650/665 | 633-640 | Cy®5 | CF®647 Features |
| BNCB | Biotin | N/A | N/A | N/A | |
| BNUB | Purified | N/A | N/A | N/A | |
| BNUM | Purified, BSA-free | N/A | N/A | N/A |
产品推荐
TrueBlack® Lipofuscin Autofluorescence Quencher
产品编号:
23007
详细视图
Paraformaldehyde, 4% in PBS, Ready-to-Use Fixative
产品编号:
22023
详细视图
EverBrite™ Mounting Medium
产品编号:
23002
- 23001
详细视图
CoverGrip™ Coverslip Sealant
产品编号:
23005
- 23005-1
详细视图
RedDot™2 Far-Red Nuclear Stain, 200X in DMSO
产品编号:
40061-T
- 40061-1
查看全部
详细视图
AntiFix™ Universal Antigen Retrieval Buffer, 10X
产品编号:
22030-50mL
- 22030-500mL
详细视图



