MTAP Recombinant Monoclonal Mouse Antibody (rMTAP/1813)
CONJUGATION
产品详情
产品属性
常见问题
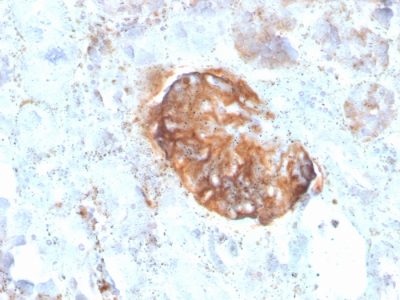
识别 31 kDa 的蛋白质,被鉴定为 MTAP(5'-脱氧-5'-甲硫腺苷磷酸化酶)。它催化甲硫腺苷的可逆磷酸解,这在多胺代谢和腺嘌呤和甲硫氨酸的回收中很重要。编码 MTAP 的基因与肿瘤抑制基因 p16INK4A 相连。MTAP 水平不足主要是通过 MTAP 基因和 p16INK4A 基因的共同缺失在癌症中发生的。由于药剂(例如抗叶酸剂)的生长抑制作用,表达 MTAP 并具有腺嘌呤补救途径活性的细胞可能不太容易患恶性肿瘤,其作用机制部分涉及这种从头嘌呤途径。
可提供纯化的一抗,或带有精选的荧光 CF® 染料和其他标记的一抗。CF® 染料具有出色的亮度和耐光性。有关详细信息,请参阅CF® 染料手册。注意:不推荐使用 CF®405S 和 CF®405M 等蓝色荧光染料的偶联物来检测低丰度目标,因为蓝色染料的荧光较低,与其他染料颜色相比可以产生更高的非特异性背景。
库存状态:由于 Biotium 提供大量抗体和偶联物选项,一抗偶联物可能需要定制。CF® 染料和生物素结合物的典型交货时间最长为 1 周,荧光蛋白和酶结合物的交货时间通常为 2-3 周。
一抗偶联物的目录号
| Antibody # prefix | Conjugation | Ex/Em (nm) | Laser line | Detection channel | Dye Features |
|---|---|---|---|---|---|
| BNC04 | CF®405S | 404/431 | 405 | DAPI (microscopy), AF405 | CF®405S Features |
| BNC88 | CF®488A | 490/515 | 488 | GFP, FITC | CF®488A Features |
| BNC68 | CF®568 | 562/583 | 532, 561 | RFP, TRITC | CF®568 Features |
| BNC94 | CF®594 | 593/614 | 561 | Texas Red® | CF®594 Features |
| BNC40 | CF®640R | 642/662 | 633-640 | Cy®5 | CF®640R Features |
| BNC47 | CF®647 | 650/665 | 633-640 | Cy®5 | CF®647 Features |
| BNCB | Biotin | N/A | N/A | N/A | |
| BNUB | Purified | N/A | N/A | N/A | |
| BNUM | Purified, BSA-free | N/A | N/A | N/A |
Alexa Fluor、Pacific Blue、Pacific Orange 和 Texas Red 是 Thermo Fisher Scientific 的商标或注册商标;Cy 是 Cytiva 的注册商标;IRDye、LI-COR 和 Odyssey 是 LI-COR Bioscience 的注册商标。
产品推荐
TrueBlack® Lipofuscin Autofluorescence Quencher
产品编号:
23007
详细视图
Paraformaldehyde, 4% in PBS, Ready-to-Use Fixative
产品编号:
22023
详细视图
EverBrite™ Mounting Medium
产品编号:
23002
- 23001
详细视图
CoverGrip™ Coverslip Sealant
产品编号:
23005
- 23005-1
详细视图
RedDot™2 Far-Red Nuclear Stain, 200X in DMSO
产品编号:
40061-T
- 40061-1
查看全部
详细视图
AntiFix™ Universal Antigen Retrieval Buffer, 10X
产品编号:
22030-50mL
- 22030-500mL
详细视图



