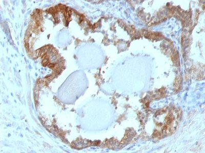
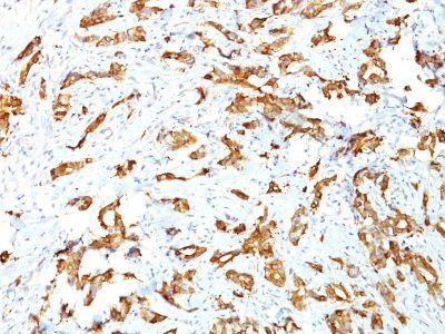
HSP27 Monoclonal Mouse Antibody (G3.1)
这种 MAb 与人类和猴子组织和细胞系(如 MCF-7)中的热休克蛋白 HSP27 发生特异性反应。HSP27,也称为雌激素调节的 24K 蛋白和 HSP28,是所有研究的生物体产生的几种小热休克蛋白之一。HSP27 合成由升高的温度以及激素反应细胞中的雌激素诱导。有趣的是,人类 HSP27 还与低分子量果蝇 HSP 和哺乳动物 α 晶状体蛋白具有超过 50% 的同源性。由于 HSP27 的雌激素反应特性,该蛋白已在人类雌激素反应组织(如子宫颈、子宫内膜和乳腺组织)中进行了广泛研究。因此,HSP27 可用于对各种激素敏感性肿瘤进行分类。
可提供纯化的一抗,或带有精选的荧光 CF® 染料和其他标记的一抗。CF® 染料具有出色的亮度和耐光性。有关详细信息,请参阅CF® 染料手册。注意:不推荐使用 CF®405S 和 CF®405M 等蓝色荧光染料的偶联物来检测低丰度目标,因为蓝色染料的荧光较低,与其他染料颜色相比可以产生更高的非特异性背景。
库存状态:由于 Biotium 提供大量抗体和偶联物选项,一抗偶联物可能需要定制。CF® 染料和生物素结合物的典型交货时间最长为 1 周,荧光蛋白和酶结合物的交货时间通常为 2-3 周。
一抗偶联物的目录号
| Antibody # prefix | Conjugation | Ex/Em (nm) | Laser line | Detection channel | Dye Features |
|---|---|---|---|---|---|
| BNC04 | CF®405S | 404/431 | 405 | DAPI (microscopy), AF405 | CF®405S Features |
| BNC88 | CF®488A | 490/515 | 488 | GFP, FITC | CF®488A Features |
| BNC68 | CF®568 | 562/583 | 532, 561 | RFP, TRITC | CF®568 Features |
| BNC94 | CF®594 | 593/614 | 561 | Texas Red® | CF®594 Features |
| BNC40 | CF®640R | 642/662 | 633-640 | Cy®5 | CF®640R Features |
| BNC47 | CF®647 | 650/665 | 633-640 | Cy®5 | CF®647 Features |
| BNCB | Biotin | N/A | N/A | N/A | |
| BNUB | Purified | N/A | N/A | N/A | |
| BNUM | Purified, BSA-free | N/A | N/A | N/A |
Alexa Fluor、Pacific Blue、Pacific Orange 和 Texas Red 是 Thermo Fisher Scientific 的商标或注册商标;Cy 是 Cytiva 的注册商标;IRDye、LI-COR 和 Odyssey 是 LI-COR Bioscience 的注册商标。
参考
注意:对于预期的应用,可能会列出其他供应商出售的此克隆的参考资料。
Nat Comm (2018) 9: 1431。(免疫沉淀;IHC、FFPE;流动、细胞内、邻近连接测定)






