HLA-Pan Recombinant Monoclonal Rabbit Antibody (HLA-Pan/2967R)
CONJUGATION
产品详情
产品属性
常见问题
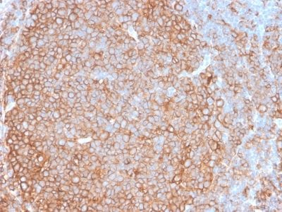
该抗体与人类主要组织相容性 (MHC) II 类抗原、HLA-DP、-DQ 和 -DR 的共同表位发生反应。人类 MHC II 类抗原是由 α 链 (36 kDa) 和 β 链 (27 kDa) 组成的跨膜糖蛋白。它们主要在抗原呈递细胞如 B 淋巴细胞、单核细胞、巨噬细胞和胸腺上皮细胞上表达,也存在于活化的 T 淋巴细胞上。人类 MHC II 类基因位于 HLA-D 区域,该区域编码至少 6 个 α 链基因和 10 个 β 链基因。DR、DQ 和 DP 三个基因座编码人类 II 类区域的主要表达产物。人类 MHC II 类分子结合细胞内加工的肽并将它们呈递给 T 辅助细胞。因此,它们在免疫反应的启动中起着关键作用。
可提供纯化的一抗,或带有精选荧光 CF® 染料和其他标记的一抗。CF® 染料具有出色的亮度和耐光性。有关详细信息,请参阅CF® 染料手册。注意:不推荐使用 CF®405S 和 CF®405M 等蓝色荧光染料的偶联物来检测低丰度目标,因为蓝色染料的荧光较低,与其他染料颜色相比可以产生更高的非特异性背景。
库存状态:由于 Biotium 提供大量抗体和偶联物选项,一抗偶联物可能需要定制。CF® 染料和生物素结合物的典型交货时间最长为 1 周,荧光蛋白和酶结合物的交货时间通常为 2-3 周。
一抗偶联物的目录号
| Antibody # prefix | Conjugation | Ex/Em (nm) | Laser line | Detection channel | Dye Features |
|---|---|---|---|---|---|
| BNC04 | CF®405S | 404/431 | 405 | DAPI (microscopy), AF405 | CF®405S Features |
| BNC88 | CF®488A | 490/515 | 488 | GFP, FITC | CF®488A Features |
| BNC68 | CF®568 | 562/583 | 532, 561 | RFP, TRITC | CF®568 Features |
| BNC94 | CF®594 | 593/614 | 561 | Texas Red® | CF®594 Features |
| BNC40 | CF®640R | 642/662 | 633-640 | Cy®5 | CF®640R Features |
| BNC47 | CF®647 | 650/665 | 633-640 | Cy®5 | CF®647 Features |
| BNCB | Biotin | N/A | N/A | N/A | |
| BNUB | Purified | N/A | N/A | N/A | |
| BNUM | Purified, BSA-free | N/A | N/A | N/A |
产品推荐
TrueBlack® Lipofuscin Autofluorescence Quencher
产品编号:
23007
详细视图
Paraformaldehyde, 4% in PBS, Ready-to-Use Fixative
产品编号:
22023
详细视图
EverBrite™ Mounting Medium
产品编号:
23002
- 23001
详细视图
CoverGrip™ Coverslip Sealant
产品编号:
23005
- 23005-1
详细视图
RedDot™2 Far-Red Nuclear Stain, 200X in DMSO
产品编号:
40061-T
- 40061-1
查看全部
详细视图
AntiFix™ Universal Antigen Retrieval Buffer, 10X
产品编号:
22030-50mL
- 22030-500mL
详细视图




