CDw75 Monoclonal Mouse Antibody (LN-1)
CONJUGATION
产品详情
产品属性
常见问题
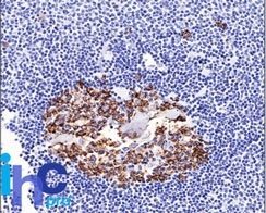
识别神经氨酸酶敏感性唾液酸蛋白 (CDw75),存在于生发中心 B 细胞和衍生淋巴瘤的细胞膜和细胞质中。这种 MAb 与骨髓的 RBC 前体、肾、乳腺、前列腺、胰腺、肺的导管和纤毛上皮细胞发生反应,并与淋巴细胞为主的霍奇金病中的胶质母细胞瘤、星形细胞瘤和 Reed Sternberg 细胞发生反应。它被证明是一种有助于确定已知淋巴组织中 B 细胞表型的抗体。
该抗体可用 200 ug/mL 的 BSA/叠氮化物纯化,或 1 mg/mL 的无 BSA/叠氮化物纯化。
产品推荐
TrueBlack® Lipofuscin Autofluorescence Quencher
产品编号:
23007
详细视图
Paraformaldehyde, 4% in PBS, Ready-to-Use Fixative
产品编号:
22023
详细视图
EverBrite™ Mounting Medium
产品编号:
23002
- 23001
详细视图
CoverGrip™ Coverslip Sealant
产品编号:
23005
- 23005-1
详细视图
RedDot™2 Far-Red Nuclear Stain, 200X in DMSO
产品编号:
40061-T
- 40061-1
查看全部
详细视图
AntiFix™ Universal Antigen Retrieval Buffer, 10X
产品编号:
22030-50mL
- 22030-500mL
详细视图




