CD59 Monoclonal Mouse Antibody (MACIF/1193)
CONJUGATION
产品详情
产品属性
常见问题
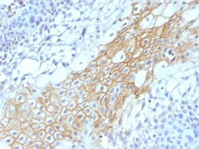
与人 CD59 反应,CD59 是一种 20 kDa 糖基磷脂酰肌醇 (GPI) 锚定细胞表面蛋白。CD59 调节补体介导的细胞裂解,并参与淋巴细胞信号转导。这种蛋白质是补体膜攻击复合物的有效抑制剂,因此它在该复合物的组装过程中结合补体 C8 和/或 C9,从而抑制 C9 的多个拷贝掺入复合物,这是渗透孔形成所必需的。CD59广泛分布于所有组织的细胞上。它抑制 MAC 的形成,从而保护细胞免受补体介导的裂解。红细胞上 CD59 的表达对其存活很重要。GPI-锚附着的遗传缺陷,导致红细胞上 CD59 和 CD55 减少或丢失的物质会产生阵发性血红蛋白尿症 (PNH) 的症状。它可用于研究 GPI 锚定蛋白、PNH 和 CD59 功能。
该抗体可用 200 ug/mL 的 BSA/叠氮化物纯化,或 1 mg/mL 的无 BSA/叠氮化物纯化。
产品推荐
TrueBlack® Lipofuscin Autofluorescence Quencher
产品编号:
23007
详细视图
Paraformaldehyde, 4% in PBS, Ready-to-Use Fixative
产品编号:
22023
详细视图
EverBrite™ Mounting Medium
产品编号:
23002
- 23001
详细视图
CoverGrip™ Coverslip Sealant
产品编号:
23005
- 23005-1
详细视图
RedDot™2 Far-Red Nuclear Stain, 200X in DMSO
产品编号:
40061-T
- 40061-1
查看全部
详细视图
AntiFix™ Universal Antigen Retrieval Buffer, 10X
产品编号:
22030-50mL
- 22030-500mL
详细视图



