CD5 Monoclonal Mouse Antibody (C5/473)
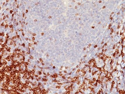
识别 67 kDa 跨膜蛋白,该蛋白被鉴定为 CD5。CD5 抗原存在于 95% 的胸腺细胞和 72% 的外周血淋巴细胞中。在淋巴结中,在 T 细胞区域观察到主要的反应性。抗 CD5 是一种泛 T 细胞标记物,也与一系列肿瘤 B 细胞发生反应,例如慢性淋巴细胞白血病/小淋巴细胞淋巴瘤 (CLL/SLL)、套细胞淋巴瘤和部分 (~10%) 弥漫性淋巴瘤大 B 细胞淋巴瘤。CD5 异常表达可用于诊断成熟 T 细胞肿瘤。抗 CD5 检测可在一组其他 B 细胞标记物中诊断 CLL/SLL,尤其是包含抗 CD23 的标记物。抗 CD5 在区分成熟的小淋巴细胞恶性肿瘤方面也非常有用。此外,抗CD5可用于区分胸腺癌( )和胸腺瘤( - )。
可提供纯化的一抗,或带有精选的荧光 CF® 染料和其他标记的一抗。CF® 染料具有出色的亮度和耐光性。有关详细信息,请参阅CF® 染料手册。注意:不推荐使用 CF®405S 和 CF®405M 等蓝色荧光染料的偶联物来检测低丰度目标,因为蓝色染料的荧光较低,与其他染料颜色相比可以产生更高的非特异性背景。
库存状态:由于 Biotium 提供大量抗体和偶联物选项,一抗偶联物可能需要定制。CF® 染料和生物素结合物的典型交货时间最长为 1 周,荧光蛋白和酶结合物的交货时间通常为 2-3 周。
抗体编号 0473 的目录号代码,抗 CD5 (C5/473)
一抗偶联物的目录号
| 抗体#前缀 | 缀合 | Ex/Em (纳米) | 激光线 | 检测通道 | 染料特性 |
|---|---|---|---|---|---|
| BNC04 | CF®405S | 404/431 | 405 | DAPI(显微镜),AF405 | CF®405S 特性 |
| BNC88 | CF®488A | 490/515 | 488 | 绿色荧光蛋白、异硫氰酸 | CF®488A 特点 |
| BNC68 | CF®568 | 562/583 | 532、561 | RFP, TRITC | CF®568 特点 |
| BNC94 | CF®594 | 593/614 | 561 | Texas Red | CF®594 特性 |
| BNC40 | CF®640R | 642/662 | 633-640 | Cy®5 | CF®640R 特点 |
| BNC47 | CF®647 | 650/665 | 633-640 | Cy®5 | CF®647 特性 |
| BNCB | Biotin | N/A | N/A | N/A | |
| BNUB | Purified | N/A | N/A | N/A | |
| BNUM | Purified, BSA-free | N/A | N/A | N/A |
Alexa Fluor、Pacific Blue、Pacific Orange 和 Texas Red 是 Thermo Fisher Scientific 的商标或注册商标;Cy 是 Cytiva 的注册商标;IRDye、LI-COR 和 Odyssey 是 LI-COR Bioscience 的注册商标。



