CD45RB Recombinant Monoclonal Rabbit Antibody (PTPRC/2877R)
CONJUGATION
产品详情
产品属性
常见问题
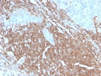
CD45R,也称为 CD45 和 PTPRC,已被鉴定为一种跨膜糖蛋白,在造血细胞中广泛表达。根据细胞类型,CD45R 的多种亚型分布在整个免疫系统中。这些同种型的产生是由于外显子 4、5 和 6 的可变剪接。相应的蛋白质结构域的特征在于结合特异性针对 CD45RA(外显子 4)、CD45RB(外显子 5)、CD45RC(外显子 6)和 CD45RO(外显子 4 到 6 剪接掉)。这些亚型的变异位于 CD45R 的胞外域,而胞内域是保守的。CD45RB 在成熟 B 淋巴细胞和大多数 B 细胞起源的淋巴瘤和白血病上表达。
可提供纯化的一抗,或带有精选的荧光 CF® 染料和其他标记的一抗。CF® 染料具有出色的亮度和耐光性。有关详细信息,请参阅CF® 染料手册。注意:不推荐使用 CF®405S 和 CF®405M 等蓝色荧光染料的偶联物来检测低丰度目标,因为蓝色染料的荧光较低,与其他染料颜色相比可以产生更高的非特异性背景。
库存状态:由于 Biotium 提供大量抗体和偶联物选项,一抗偶联物可能需要定制。CF® 染料和生物素结合物的典型交货时间最长为 1 周,荧光蛋白和酶结合物的交货时间通常为 2-3 周。
抗体编号 2877 的目录号代码,抗 CD45RB (PTPRC/2877R)
一抗偶联物的目录号
| Antibody # prefix | Conjugation | Ex/Em (nm) | Laser line | Detection channel | Dye Features |
|---|---|---|---|---|---|
| BNC04 | CF®405S | 404/431 | 405 | DAPI (microscopy), AF405 | CF®405S Features |
| BNC88 | CF®488A | 490/515 | 488 | GFP, FITC | CF®488A Features |
| BNC68 | CF®568 | 562/583 | 532, 561 | RFP, TRITC | CF®568 Features |
| BNC94 | CF®594 | 593/614 | 561 | Texas Red® | CF®594 Features |
| BNC40 | CF®640R | 642/662 | 633-640 | Cy®5 | CF®640R Features |
| BNC47 | CF®647 | 650/665 | 633-640 | Cy®5 | CF®647 Features |
| BNCB | Biotin | N/A | N/A | N/A | |
| BNUB | Purified | N/A | N/A | N/A | |
| BNUM | Purified, BSA-free | N/A | N/A | N/A |
Alexa Fluor、Pacific Blue、Pacific Orange 和 Texas Red 是 Thermo Fisher Scientific 的商标或注册商标;Cy 是 Cytiva 的注册商标;IRDye、LI-COR 和 Odyssey 是 LI-COR Bioscience 的注册商标。






