CD43 Monoclonal Mouse Antibody (SPN/3388)
CONJUGATION
产品详情
产品属性
常见问题
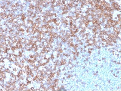
识别 95/115/135 kDa 的细胞表面糖蛋白(取决于糖基化程度),鉴定为 CD43。70-90% 的 T 细胞淋巴瘤和 22-37% 的 B 细胞淋巴瘤表达 CD43。没有观察到反应性 B 细胞的反应性。因此,共表达 CD43 的 B 系细胞群极有可能是恶性淋巴瘤,尤其是低度恶性淋巴瘤,而不是反应性 B 细胞群。当 CD43 抗体与抗 CD20 抗体联合使用时,可以获得福尔马林固定组织中淋巴瘤的有效免疫分型。淋巴浸润与抗 CD20 和抗 CD43 共染色反对反应性过程,有利于淋巴瘤的诊断。
可提供纯化的一抗,或带有精选的荧光 CF® 染料和其他标记的一抗。CF® 染料具有出色的亮度和耐光性。有关详细信息,请参阅CF® 染料手册。注意:不推荐使用 CF®405S 和 CF®405M 等蓝色荧光染料的偶联物来检测低丰度目标,因为蓝色染料的荧光较低,与其他染料颜色相比可以产生更高的非特异性背景。
库存状态:由于 Biotium 提供大量抗体和偶联物选项,一抗偶联物可能需要定制。CF® 染料和生物素结合物的典型交货时间最长为 1 周,荧光蛋白和酶结合物的交货时间通常为 2-3 周。
一抗偶联物的目录号
| Antibody # prefix | Conjugation | Ex/Em (nm) | Laser line | Detection channel | Dye Features |
|---|---|---|---|---|---|
| BNC04 | CF®405S | 404/431 | 405 | DAPI (microscopy), AF405 | CF®405S Features |
| BNC88 | CF®488A | 490/515 | 488 | GFP, FITC | CF®488A Features |
| BNC68 | CF®568 | 562/583 | 532, 561 | RFP, TRITC | CF®568 Features |
| BNC94 | CF®594 | 593/614 | 561 | Texas Red® | CF®594 Features |
| BNC40 | CF®640R | 642/662 | 633-640 | Cy®5 | CF®640R Features |
| BNC47 | CF®647 | 650/665 | 633-640 | Cy®5 | CF®647 Features |
| BNCB | Biotin | N/A | N/A | N/A | |
| BNUB | Purified | N/A | N/A | N/A | |
| BNUM | Purified, BSA-free | N/A | N/A | N/A |
Alexa Fluor、Pacific Blue、Pacific Orange 和 Texas Red 是 Thermo Fisher Scientific 的商标或注册商标;Cy 是 Cytiva 的注册商标;IRDye、LI-COR 和 Odyssey 是 LI-COR Bioscience 的注册商标。



