CD30 / TNFRSF8 Monoclonal Mouse Antibody (CD30/412)
CONJUGATION
产品详情
产品属性
常见问题
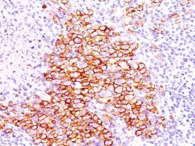
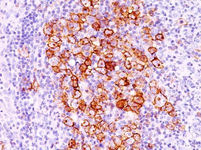
识别 105/120 kDa 的单链糖蛋白,鉴定为 CD30/Ki-1。CD30 作为 90 kDa 前体合成,在高尔基复合体中加工成膜结合的磷酸化成熟 105/120 kDa 糖蛋白。在霍奇金病中,CD30/Ki-1 抗原由单核霍奇金细胞和多核 Reed-Sternberg 细胞表达。它也由大多数间变性大细胞淋巴瘤的肿瘤细胞以及不同比例的活化 T 和 B 细胞表达。该 MAb 可区分源自活化淋巴样细胞的大细胞淋巴瘤与组织细胞恶性肿瘤以及源自静息和前体淋巴样细胞或间变性癌的淋巴瘤。大约三分之一的 Ki-1 阳性淋巴瘤缺乏白细胞共同抗原 (CD45)。
可提供纯化的一抗,或带有精选的荧光 CF® 染料和其他标记的一抗。CF® 染料具有出色的亮度和耐光性。有关详细信息,请参阅CF® 染料手册。注意:不推荐使用 CF®405S 和 CF®405M 等蓝色荧光染料的偶联物来检测低丰度目标,因为蓝色染料的荧光较低,与其他染料颜色相比可以产生更高的非特异性背景。
库存状况:因为Biotium提供了大量的抗体和结合选项,主要抗体轭合物可以定做。典型的交货期是一个星期CF®染料和生物素配合,和2 - 3周荧光蛋白和酶配合。
Catalog Number Key for Primary Antibody Conjugates
| Antibody # prefix | Conjugation | Ex/Em (nm) | Laser line | Detection channel | Dye Features |
|---|---|---|---|---|---|
| BNC04 | CF®405S | 404/431 | 405 | DAPI (microscopy), AF405 | CF®405S Features |
| BNC88 | CF®488A | 490/515 | 488 | GFP, FITC | CF®488A Features |
| BNC68 | CF®568 | 562/583 | 532, 561 | RFP, TRITC | CF®568 Features |
| BNC94 | CF®594 | 593/614 | 561 | Texas Red® | CF®594 Features |
| BNC40 | CF®640R | 642/662 | 633-640 | Cy®5 | CF®640R Features |
| BNC47 | CF®647 | 650/665 | 633-640 | Cy®5 | CF®647 Features |
| BNCB | Biotin | N/A | N/A | N/A | |
| BNUB | Purified | N/A | N/A | N/A | |
| BNUM | Purified, BSA-free | N/A | N/A | N/A |
Alexa Fluor、Pacific Blue、Pacific Orange 和 Texas Red 是 Thermo Fisher Scientific 的商标或注册商标;Cy 是 GE Healthcare 的注册商标;IRDye、LI-COR 和 Odyssey 是 LI-COR Bioscience 的注册商标。
产品推荐
TrueBlack® Lipofuscin Autofluorescence Quencher
产品编号:
23007
详细视图
Paraformaldehyde, 4% in PBS, Ready-to-Use Fixative
产品编号:
22023
详细视图
EverBrite™ Mounting Medium
产品编号:
23002
- 23001
详细视图
CoverGrip™ Coverslip Sealant
产品编号:
23005
- 23005-1
详细视图
RedDot™2 Far-Red Nuclear Stain, 200X in DMSO
产品编号:
40061-T
- 40061-1
查看全部
详细视图
AntiFix™ Universal Antigen Retrieval Buffer, 10X
产品编号:
22030-50mL
- 22030-500mL
详细视图




