CD20 Monoclonal Mouse Antibody (B9E9)
CONJUGATION
产品详情
产品属性
常见问题
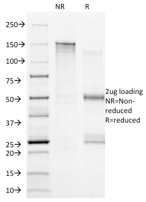
识别 33-37 kDa 的蛋白质,鉴定为 CD20(研讨会 V;代码 CD20.12)。B9E9 识别 CD20 的细胞外结构域。该表位与其他 CD20 抗体(包括 Leu-16 和 B1)识别的表位相似或相同。该单克隆抗体可用于白血病和恶性细胞的免疫分型、外周血中 B 淋巴细胞的检测、组织中 B 细胞的定位以及通过免疫吸附法纯化 B 淋巴细胞。CD20 是 B 细胞的非 Ig 分化抗原,其表达仅限于正常和肿瘤 B 细胞,在所有其他白细胞和组织中都不存在。CD20 由前 B 细胞表达,并在 B 细胞成熟的所有阶段持续存在,但在终末分化为浆细胞时丢失。蛋白质穿膜4次,两端在细胞质中,将一短一长的环暴露在外界环境中。CD20 在静息 B 细胞中未被糖基化,其细胞质结构域在激活后被差异磷酸化。它充当参与 B 细胞活化和细胞周期进程的钙通道。
可提供纯化的一抗,或带有精选的荧光 CF® 染料和其他标记的一抗。CF® 染料具有出色的亮度和耐光性。有关详细信息,请参阅CF® 染料手册。注意:不推荐使用 CF®405S 和 CF®405M 等蓝色荧光染料的偶联物来检测低丰度目标,因为蓝色染料的荧光较低,与其他染料颜色相比可以产生更高的非特异性背景。
库存状态:由于 Biotium 提供大量抗体和偶联物选项,一抗偶联物可能需要定制。CF® 染料和生物素结合物的典型交货时间最长为 1 周,荧光蛋白和酶结合物的交货时间通常为 2-3 周。
一抗偶联物的目录号
| Antibody # prefix | Conjugation | Ex/Em (nm) | Laser line | Detection channel | Dye Features |
|---|---|---|---|---|---|
| BNC04 | CF®405S | 404/431 | 405 | DAPI (microscopy), AF405 | CF®405S Features |
| BNC88 | CF®488A | 490/515 | 488 | GFP, FITC | CF®488A Features |
| BNC68 | CF®568 | 562/583 | 532, 561 | RFP, TRITC | CF®568 Features |
| BNC94 | CF®594 | 593/614 | 561 | Texas Red® | CF®594 Features |
| BNC40 | CF®640R | 642/662 | 633-640 | Cy®5 | CF®640R Features |
| BNC47 | CF®647 | 650/665 | 633-640 | Cy®5 | CF®647 Features |
| BNCB | Biotin | N/A | N/A | N/A | |
| BNUB | Purified | N/A | N/A | N/A | |
| BNUM | Purified, BSA-free | N/A | N/A | N/A |
产品推荐
TrueBlack® Lipofuscin Autofluorescence Quencher
产品编号:
23007
详细视图
Paraformaldehyde, 4% in PBS, Ready-to-Use Fixative
产品编号:
22023
详细视图
EverBrite™ Mounting Medium
产品编号:
23002
- 23001
详细视图
CoverGrip™ Coverslip Sealant
产品编号:
23005
- 23005-1
详细视图
RedDot™2 Far-Red Nuclear Stain, 200X in DMSO
产品编号:
40061-T
- 40061-1
查看全部
详细视图
AntiFix™ Universal Antigen Retrieval Buffer, 10X
产品编号:
22030-50mL
- 22030-500mL
详细视图



