CD163 Monoclonal Mouse Antibody (M130/2164)
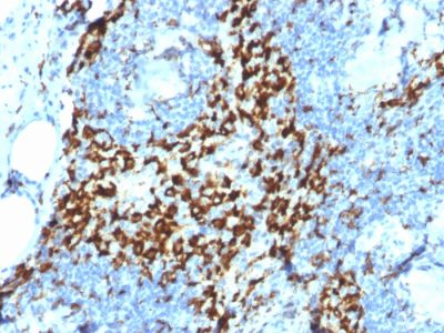
该 MAb 可识别 140 kDa 的蛋白质,鉴定为 CD163。它已被确定为一种急性时相调节跨膜蛋白,其功能是介导触珠蛋白-血红蛋白复合物的内吞作用。该受体在单核细胞表面低表达,在组织巨噬细胞、组织细胞表面高表达。用抗 CD163 染色有助于区分类风湿性关节炎中的滑膜巨噬细胞和滑膜内膜成纤维细胞,发现其对巨噬细胞的特异性优于抗 CD68。在微生物感染和骨髓单核细胞白血病患者中也检测到 CD163 水平升高。Anti-CD163对于选择性鉴定处于一定分化阶段的单核细胞和巨噬细胞具有相当的价值,适用于诊断粒单核细胞或单核细胞白血病和真正组织细胞来源的肿瘤。CD163 在皮肤(组织细胞)、肠道、Kupffer 细胞、少数肺泡巨噬细胞、胎盘中的巨噬细胞以及包括肿瘤组织在内的炎症组织中的巨噬细胞中呈阳性。
可提供纯化的一抗,或带有精选的荧光 CF® 染料和其他标记的一抗。CF® 染料具有出色的亮度和耐光性。有关详细信息,请参阅CF® 染料手册。注意:不推荐使用 CF®405S 和 CF®405M 等蓝色荧光染料的偶联物来检测低丰度目标,因为蓝色染料的荧光较低,与其他染料颜色相比可以产生更高的非特异性背景。
库存状态:由于 Biotium 提供大量抗体和偶联物选项,一抗偶联物可能需要定制。CF® 染料和生物素结合物的典型交货时间最长为 1 周,荧光蛋白和酶结合物的交货时间通常为 2-3 周。
一抗偶联物的目录号
| Antibody # prefix | Conjugation | Ex/Em (nm) | Laser line | Detection channel | Dye Features |
|---|---|---|---|---|---|
| BNC04 | CF®405S | 404/431 | 405 | DAPI (microscopy), AF405 | CF®405S Features |
| BNC88 | CF®488A | 490/515 | 488 | GFP, FITC | CF®488A Features |
| BNC68 | CF®568 | 562/583 | 532, 561 | RFP, TRITC | CF®568 Features |
| BNC94 | CF®594 | 593/614 | 561 | Texas Red® | CF®594 Features |
| BNC40 | CF®640R | 642/662 | 633-640 | Cy®5 | CF®640R Features |
| BNC47 | CF®647 | 650/665 | 633-640 | Cy®5 | CF®647 Features |
| BNCB | Biotin | N/A | N/A | N/A | |
| BNUB | Purified | N/A | N/A | N/A | |
| BNUM | Purified, BSA-free | N/A | N/A | N/A |
Alexa Fluor、Pacific Blue、Pacific Orange 和 Texas Red 是 Thermo Fisher Scientific 的商标或注册商标;Cy 是 Cytiva 的注册商标;IRDye、LI-COR 和 Odyssey 是 LI-COR Bioscience 的注册商标。



