CD15 / FUT4 / Lewis-X Monoclonal Mouse Antibody (FUT4/815 + BRA-4F1)
CONJUGATION
产品详情
产品属性
常见问题
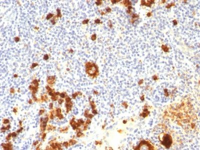
CD15 在介导吞噬作用、杀菌活性和趋化性方面发挥作用。它存在于 >95% 的粒细胞中,包括嗜中性粒细胞和嗜酸性粒细胞,在单核细胞中的含量较低。此外,CD15 在 Reed-Sternberg 细胞和一些上皮细胞中表达。CD15抗体对霍奇金病的鉴别很有用。CD15 偶尔在 B 和 T 表型的大细胞淋巴瘤中表达,否则具有非常不同的组织学外观。
该抗体可用 200 ug/mL 的 BSA/叠氮化物纯化,或 1 mg/mL 的无 BSA/叠氮化物纯化。
产品推荐
TrueBlack® Lipofuscin Autofluorescence Quencher
产品编号:
23007
详细视图
Paraformaldehyde, 4% in PBS, Ready-to-Use Fixative
产品编号:
22023
详细视图
EverBrite™ Mounting Medium
产品编号:
23002
- 23001
详细视图
CoverGrip™ Coverslip Sealant
产品编号:
23005
- 23005-1
详细视图
RedDot™2 Far-Red Nuclear Stain, 200X in DMSO
产品编号:
40061-T
- 40061-1
查看全部
详细视图
AntiFix™ Universal Antigen Retrieval Buffer, 10X
产品编号:
22030-50mL
- 22030-500mL
详细视图



