Calprotectin / Protein S100-A9 Monoclonal Mouse Antibody (CAGB/426)
CONJUGATION
产品详情
产品属性
常见问题
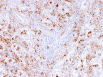
钙卫蛋白是蛋白质 S100-A8/A9(也称为 MRP-8/14 或钙粒蛋白 A/B)的异源双链体。该抗体可识别复合物的 14 kDa B 组分(蛋白质 S100-A9)。蛋白质 S100-A9 是 S100 蛋白质家族的成员,包含 2 个 EF 手钙结合基序。这种蛋白质表达的改变与囊性纤维化疾病有关。该抗体与中性粒细胞、单核细胞、巨噬细胞和鳞状粘膜上皮细胞发生反应,已被证明是识别组织切片中巨噬细胞的重要标志物。
该抗体可用 200 ug/mL 的 BSA/叠氮化物纯化,或 1 mg/mL 的无 BSA/叠氮化物纯化。
产品推荐
TrueBlack® Lipofuscin Autofluorescence Quencher
产品编号:
23007
详细视图
Paraformaldehyde, 4% in PBS, Ready-to-Use Fixative
产品编号:
22023
详细视图
EverBrite™ Mounting Medium
产品编号:
23002
- 23001
详细视图
CoverGrip™ Coverslip Sealant
产品编号:
23005
- 23005-1
详细视图
RedDot™2 Far-Red Nuclear Stain, 200X in DMSO
产品编号:
40061-T
- 40061-1
查看全部
详细视图
AntiFix™ Universal Antigen Retrieval Buffer, 10X
产品编号:
22030-50mL
- 22030-500mL
详细视图



