Neurofilament Recombinant Monoclonal Rabbit Antibody (NEFL/2983R)
CONJUGATION
产品详情
产品属性
常见问题
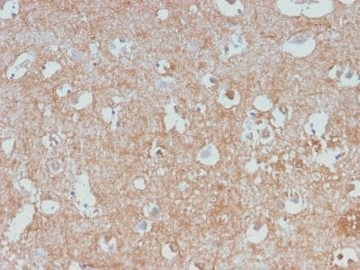
该 MAb 与一种 68 kDa 的蛋白质发生反应,该蛋白质被鉴定为神经丝的轻亚基 (NF-L)。神经丝构成轴突和树突的主要结构元素,存在于神经元、周围神经和交感神经节细胞中。神经丝由三个主要亚基组成,分子量分别为 68 kDa (NF-L)、160 kDa (NF-M) 和 200 kDa (NF-H)。抗神经丝染色许多神经、神经内分泌和内分泌肿瘤。神经瘤、神经节神经瘤、神经节神经胶质瘤、神经节神经母细胞瘤和神经母细胞瘤的抗神经丝染色呈阳性。神经丝也存在于副神经节瘤以及肾上腺和肾上腺外嗜铬细胞瘤中。类癌、皮肤神经内分泌癌和肺燕麦细胞癌也表达神经丝。
一抗可提供纯化的,或带有荧光 CF® 染料和其他标记的选择。CF® 染料具有出色的亮度和光稳定性。有关更多信息,请参阅CF® 染料手册。注意:不推荐使用 CF®405S 和 CF®405M 等蓝色荧光染料的偶联物检测低丰度目标,因为蓝色染料的荧光较低,并且比其他染料颜色可以产生更高的非特异性背景。
库存状态:由于 Biotium 提供大量抗体和偶联选择,因此可以订购一抗偶联物。CF® 染料和生物素偶联物的典型交货时间最长为 1 周,荧光蛋白和酶偶联物的交货时间最长为 2-3 周。
抗体编号 2983、抗神经丝 (NEFL/2983R) 的目录编号键
一抗偶联物的目录编号键
| Antibody # prefix | Conjugation | Ex/Em (nm) | Laser line | Detection channel | Dye Features |
|---|---|---|---|---|---|
| BNC04 | CF®405S | 404/431 | 405 | DAPI (microscopy), AF405 | CF®405S Features |
| BNC88 | CF®488A | 490/515 | 488 | GFP, FITC | CF®488A Features |
| BNC68 | CF®568 | 562/583 | 532, 561 | RFP, TRITC | CF®568 Features |
| BNC94 | CF®594 | 593/614 | 561 | Texas Red® | CF®594 Features |
| BNC40 | CF®640R | 642/662 | 633-640 | Cy®5 | CF®640R Features |
| BNC47 | CF®647 | 650/665 | 633-640 | Cy®5 | CF®647 Features |
| BNCB | Biotin | N/A | N/A | N/A | |
| BNUB | Purified | N/A | N/A | N/A | |
| BNUM | Purified, BSA-free | N/A | N/A | N/A |
产品推荐
TrueBlack® Lipofuscin Autofluorescence Quencher
产品编号:
23007
详细视图
Paraformaldehyde, 4% in PBS, Ready-to-Use Fixative
产品编号:
22023
详细视图
EverBrite™ Mounting Medium
产品编号:
23002
- 23001
详细视图
CoverGrip™ Coverslip Sealant
产品编号:
23005
- 23005-1
详细视图
RedDot™2 Far-Red Nuclear Stain, 200X in DMSO
产品编号:
40061-T
- 40061-1
查看全部
详细视图
AntiFix™ Universal Antigen Retrieval Buffer, 10X
产品编号:
22030-50mL
- 22030-500mL
详细视图




