Wilm’s Tumor 1 / WT1 Monoclonal Mouse Antibody (WT1/857 + 6F-H2)
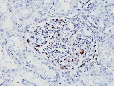
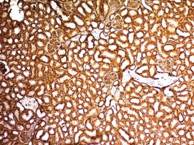
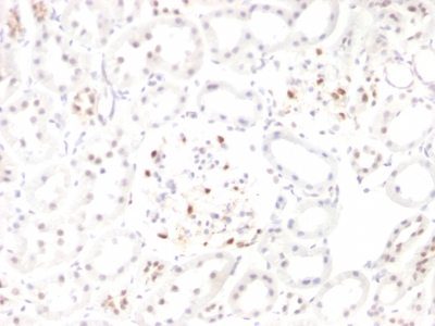
识别 47-55 kDa 的肿瘤抑制蛋白,被鉴定为 Wilm's Tumor (WT1) 蛋白。该抗体与全长 WT1 的所有同种型发生反应,还可以识别缺乏外显子 2 编码氨基酸的 WT1,这种氨基酸常见于散发性威尔姆氏肿瘤的亚群中。WT1 是一种散发性和家族性的小儿肾肿瘤,具有遗传异质性。威尔姆氏瘤与 WT1 突变有关,WT1 是一种锌指转录因子,对后肾和泌尿生殖系统的发育至关重要。WT1 基因通常在胎儿肾脏和间皮细胞中表达,它的表达被认为是威尔姆氏瘤和间皮瘤的标志物。WT1 蛋白已在增殖性间皮细胞、恶性间皮瘤、卵巢癌、性腺母细胞瘤、肾母细胞瘤、和促纤维增生性小圆细胞瘤。肺腺癌很少用这种抗体染色阳性。间皮细胞中 WT1 蛋白的表达已成为诊断间皮瘤的可靠标志物。
一抗可提供纯化的,或带有荧光 CF® 染料和其他标记的选择。CF® 染料具有出色的亮度和光稳定性。有关更多信息,请参阅CF® 染料手册。注意:不推荐使用 CF®405S 和 CF®405M 等蓝色荧光染料的偶联物检测低丰度目标,因为蓝色染料的荧光较低,并且比其他染料颜色可以产生更高的非特异性背景。
库存状态:由于 Biotium 提供大量抗体和偶联选择,因此可以订购一抗偶联物。CF® 染料和生物素偶联物的典型交货时间最长为 1 周,荧光蛋白和酶偶联物的交货时间最长为 2-3 周。
抗体编号 1138、Anti-Wilm's Tumor 1 (WT1/857 6F-H2) 的目录编号键
一抗偶联物的目录编号键
| Antibody # prefix | Conjugation | Ex/Em (nm) | Laser line | Detection channel | Dye Features |
|---|---|---|---|---|---|
| BNC04 | CF®405S | 404/431 | 405 | DAPI (microscopy), AF405 | CF®405S Features |
| BNC88 | CF®488A | 490/515 | 488 | GFP, FITC | CF®488A Features |
| BNC68 | CF®568 | 562/583 | 532, 561 | RFP, TRITC | CF®568 Features |
| BNC94 | CF®594 | 593/614 | 561 | Texas Red® | CF®594 Features |
| BNC40 | CF®640R | 642/662 | 633-640 | Cy®5 | CF®640R Features |
| BNC47 | CF®647 | 650/665 | 633-640 | Cy®5 | CF®647 Features |
| BNCB | Biotin | N/A | N/A | N/A | |
| BNUB | Purified | N/A | N/A | N/A | |
| BNUM | Purified, BSA-free | N/A | N/A | N/A |
Alexa Fluor、Pacific Blue、Pacific Orange 和 Texas Red 是 Thermo Fisher Scientific 的商标或注册商标;Cy 是 GE Healthcare 的注册商标;IRDye、LI-COR 和 Odyssey 是 LI-COR Bioscience 的注册商标。





