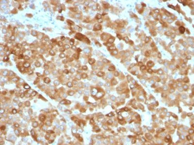
Tyrosinase Monoclonal Mouse Antibody (OCA1/812)
识别 70-80 kDa 之间的蛋白质簇,被鉴定为酪氨酸酶。偶尔也会检测到 55 kDa 的小条带。该 MAb 与 MAGE-1 和酪氨酸酶相关蛋白 1、TRP-1/gp75 没有交叉反应。酪氨酸酶是一种含铜金属糖蛋白,可催化黑色素生物合成途径中的几个步骤;酪氨酸羟基化为 L-3,4-二羟基苯丙氨酸(多巴),随后多巴氧化为多巴醌。酪氨酸酶基因的突变发生在各种形式的白化病中。酪氨酸酶是黑色素瘤患者细胞毒性 T 细胞识别的靶标之一。用这种 MAb 对黑色素瘤进行染色显示黑色素变体和无色素变体中的酪氨酸酶。该 MAb 是黑色素细胞和黑色素瘤的有用标记物。
一抗可提供纯化的,或带有荧光 CF® 染料和其他标记的选择。CF® 染料具有出色的亮度和光稳定性。有关更多信息,请参阅CF® 染料手册。注意:不推荐使用 CF®405S 和 CF®405M 等蓝色荧光染料的偶联物检测低丰度目标,因为蓝色染料的荧光较低,并且比其他染料颜色可以产生更高的非特异性背景。
库存状态:由于 Biotium 提供大量抗体和偶联选择,因此可以订购一抗偶联物。CF® 染料和生物素偶联物的典型交货时间最长为 1 周,荧光蛋白和酶偶联物的交货时间最长为 2-3 周。
抗体编号 0812、抗酪氨酸酶 (OCA1/812) 的目录编号键
一抗偶联物的目录编号键
| Antibody # prefix | Conjugation | Ex/Em (nm) | Laser line | Detection channel | Dye Features |
|---|---|---|---|---|---|
| BNC04 | CF®405S | 404/431 | 405 | DAPI (microscopy), AF405 | CF®405S Features |
| BNC88 | CF®488A | 490/515 | 488 | GFP, FITC | CF®488A Features |
| BNC68 | CF®568 | 562/583 | 532, 561 | RFP, TRITC | CF®568 Features |
| BNC94 | CF®594 | 593/614 | 561 | Texas Red® | CF®594 Features |
| BNC40 | CF®640R | 642/662 | 633-640 | Cy®5 | CF®640R Features |
| BNC47 | CF®647 | 650/665 | 633-640 | Cy®5 | CF®647 Features |
| BNCB | Biotin | N/A | N/A | N/A | |
| BNUB | Purified | N/A | N/A | N/A | |
| BNUM | Purified, BSA-free | N/A | N/A | N/A |
Alexa Fluor, Pacific Blue, Pacific Orange, and Texas Red are trademarks or registered trademarks of Thermo Fisher Scientific; Cy is a registered trademark of Cytiva; IRDye, LI-COR, and Odyssey are registered trademarks of LI-COR Bioscience.



