TRAF1 Monoclonal Mouse Antibody (TRAF1/3298)
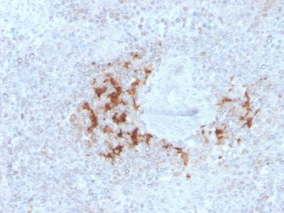
该 MAb 可识别 52 kDa 的蛋白质,该蛋白质被鉴定为 TNFR1(TNFR 相关因子 1)。皮肤 CD30 阳性淋巴组织增生占所有原发性皮肤 T 细胞淋巴瘤 (CTCL) 的 30%。除了临界病例外,该组还包括淋巴瘤样丘疹病 (LyP) 和原发性皮肤间变性大 T 细胞淋巴瘤 (cALCL)。尽管这两个实体在临床、组织病理学、免疫病理学和遗传学上重叠,但它们的预后差异很大。特别是,这两种病例的共同特征是组织学上存在非典型淋巴 CD30 阳性 T 母细胞和遗传上的克隆性 T 细胞受体重排。然而,这两种病例的临床过程有很大不同:LyP 的病变会自发消退,而 cALCL 的病变会持续存在并可能进展和扩散。而且,与 cALCL 患者相比,LyP 患者不能从积极的放射和/或化学治疗方法中受益。此外,LyP 和 cALCL 在 TRAF1(肿瘤坏死因子受体 (TNFR) 相关因子 1)的表达上存在很大差异,这是 TNFR 信号传导的一个组成部分:而大多数 LyP 病例(约 84%)的肿瘤细胞显示出强烈的 TRAF1 表达, cALCL 的肿瘤细胞仅在少数情况下 (约 7%) 显示 TRAF1 表达。TRAF1 抗体对区分皮肤 CD30 阳性淋巴组织增生患者的 LyP 和 cALCL 非常有用。大多数 LyP 病例(约 84%)的肿瘤细胞表现出强 TRAF1 表达,而 cALCL 的肿瘤细胞仅在少数病例(约 7%)中表现出 TRAF1 表达。TRAF1 抗体对区分皮肤 CD30 阳性淋巴组织增生患者的 LyP 和 cALCL 非常有用。大多数 LyP 病例(约 84%)的肿瘤细胞表现出强 TRAF1 表达,而 cALCL 的肿瘤细胞仅在少数病例(约 7%)中表现出 TRAF1 表达。TRAF1 抗体对区分皮肤 CD30 阳性淋巴组织增生患者的 LyP 和 cALCL 非常有用。
一抗可提供纯化的,或带有荧光 CF® 染料和其他标记的选择。CF® 染料具有出色的亮度和光稳定性。有关更多信息,请参阅CF® 染料手册。注意:不推荐使用 CF®405S 和 CF®405M 等蓝色荧光染料的偶联物检测低丰度目标,因为蓝色染料的荧光较低,并且比其他染料颜色可以产生更高的非特异性背景。
库存状态:由于 Biotium 提供大量抗体和偶联选择,因此可以订购一抗偶联物。CF® 染料和生物素偶联物的典型交货时间最长为 1 周,荧光蛋白和酶偶联物的交货时间最长为 2-3 周。
一抗偶联物的目录编号键
| Antibody # prefix | Conjugation | Ex/Em (nm) | Laser line | Detection channel | Dye Features |
|---|---|---|---|---|---|
| BNC04 | CF®405S | 404/431 | 405 | DAPI (microscopy), AF405 | CF®405S Features |
| BNC88 | CF®488A | 490/515 | 488 | GFP, FITC | CF®488A Features |
| BNC68 | CF®568 | 562/583 | 532, 561 | RFP, TRITC | CF®568 Features |
| BNC94 | CF®594 | 593/614 | 561 | Texas Red® | CF®594 Features |
| BNC40 | CF®640R | 642/662 | 633-640 | Cy®5 | CF®640R Features |
| BNC47 | CF®647 | 650/665 | 633-640 | Cy®5 | CF®647 Features |
| BNCB | Biotin | N/A | N/A | N/A | |
| BNUB | Purified | N/A | N/A | N/A | |
| BNUM | Purified, BSA-free | N/A | N/A | N/A |
Alexa Fluor、Pacific Blue、Pacific Orange 和 Texas Red 是 Thermo Fisher Scientific 的商标或注册商标;Cy 是 Cytiva 的注册商标;IRDye、LI-COR 和 Odyssey 是 LI-COR Bioscience 的注册商标。



