Thyroglobulin Recombinant Monoclonal Mouse Antibody (r2H11)
CONJUGATION
产品详情
产品属性
常见问题
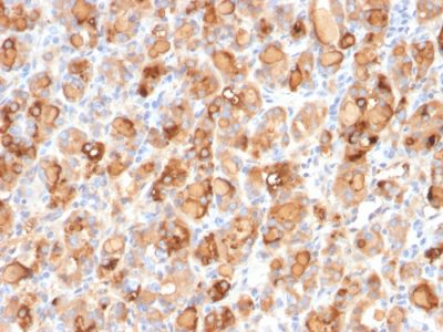
MAb r2H11 与人甲状腺球蛋白的部分确定表位反应。该表位不同于 MAb 6E1 识别的表位。甲状腺球蛋白是一种 660 kDa 二聚体前蛋白,具有多个糖基化位点。它由甲状腺产生并在甲状腺内加工以产生激素甲状腺素和三碘甲状腺原氨酸。在形成二聚体之前,甲状腺球蛋白单体在内质网中经历构象成熟。绝大多数甲状腺滤泡癌会产生抗甲状腺球蛋白的阳性免疫反应,即使有时只是局灶性的。低分化甲状腺癌通常为抗甲状腺球蛋白阴性。非甲状腺来源的腺癌不与该抗体发生反应。该抗体可用于鉴定乳头状和滤泡状甲状腺癌。转移性病变中甲状腺球蛋白的存在确定了肿瘤的甲状腺起源。抗甲状腺球蛋白联合抗降钙素可识别甲状腺髓样癌。此外,抗甲状腺球蛋白与抗 TTF1 相结合,可以成为区分原发性甲状腺和肺肿瘤的可靠标志物。
一抗可提供纯化的,或带有荧光 CF® 染料和其他标记的选择。CF® 染料具有出色的亮度和光稳定性。有关更多信息,请参阅CF® 染料手册。注意:不推荐使用 CF®405S 和 CF®405M 等蓝色荧光染料的偶联物检测低丰度目标,因为蓝色染料的荧光较低,并且比其他染料颜色可以产生更高的非特异性背景。
库存状态:由于 Biotium 提供大量抗体和偶联选择,因此可以订购一抗偶联物。CF® 染料和生物素偶联物的典型交货时间最长为 1 周,荧光蛋白和酶偶联物的交货时间最长为 2-3 周。
一抗偶联物的目录编号键
| Antibody # prefix | Conjugation | Ex/Em (nm) | Laser line | Detection channel | Dye Features |
|---|---|---|---|---|---|
| BNC04 | CF®405S | 404/431 | 405 | DAPI (microscopy), AF405 | CF®405S Features |
| BNC88 | CF®488A | 490/515 | 488 | GFP, FITC | CF®488A Features |
| BNC68 | CF®568 | 562/583 | 532, 561 | RFP, TRITC | CF®568 Features |
| BNC94 | CF®594 | 593/614 | 561 | Texas Red® | CF®594 Features |
| BNC40 | CF®640R | 642/662 | 633-640 | Cy®5 | CF®640R Features |
| BNC47 | CF®647 | 650/665 | 633-640 | Cy®5 | CF®647 Features |
| BNCB | Biotin | N/A | N/A | N/A | |
| BNUB | Purified | N/A | N/A | N/A | |
| BNUM | Purified, BSA-free | N/A | N/A | N/A |
Alexa Fluor、Pacific Blue、Pacific Orange 和 Texas Red 是 Thermo Fisher Scientific 的商标或注册商标;Cy 是 Cytiva 的注册商标;IRDye、LI-COR 和 Odyssey 是 LI-COR Bioscience 的注册商标。
产品推荐
TrueBlack® Lipofuscin Autofluorescence Quencher
产品编号:
23007
详细视图
Paraformaldehyde, 4% in PBS, Ready-to-Use Fixative
产品编号:
22023
详细视图
EverBrite™ Mounting Medium
产品编号:
23002
- 23001
详细视图
CoverGrip™ Coverslip Sealant
产品编号:
23005
- 23005-1
详细视图
RedDot™2 Far-Red Nuclear Stain, 200X in DMSO
产品编号:
40061-T
- 40061-1
查看全部
详细视图
AntiFix™ Universal Antigen Retrieval Buffer, 10X
产品编号:
22030-50mL
- 22030-500mL
详细视图



