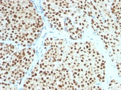
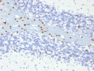
SOX10 Monoclonal Mouse Antibody (SOX10/991)
识别约 55 kDa 的蛋白质,被鉴定为 SOX10。该 MAb 具有高度特异性,不会与 SOX 家族的其他成员发生交叉反应。SOX 基因包含与哺乳动物性别决定基因 SRY 相关的基因家族。这些基因同样包含编码 HMG-box 结构域的序列,该结构域负责序列特异性 DNA 结合活性。SOX-10 是黑色素瘤的敏感标志物,包括常规、梭形和促纤维增生亚型。它由前哨淋巴结中的转移性黑色素瘤和结节包膜痣表达,但不由通常表达 S100 蛋白的树突状细胞等其他淋巴结成分表达。常用的黑色素瘤标志物,如抗HMB-45和抗Melan-A,SOX-10 在促纤维增生性黑色素瘤中表达较差,而 SOX-10 在促纤维化黑色素瘤中表达中等至强。SOX-10 被认为是识别残留促纤维增生性黑色素瘤的非常可靠的标志物。在正常组织中,它在唾液腺、支气管和乳腺的雪旺细胞、黑素细胞和肌上皮细胞中表达。在肥大细胞中也观察到 SOX-10 表达。
一抗可提供纯化的,或带有荧光 CF® 染料和其他标记的选择。CF® 染料具有出色的亮度和光稳定性。有关更多信息,请参阅CF® 染料手册。注意:不推荐使用 CF®405S 和 CF®405M 等蓝色荧光染料的偶联物检测低丰度目标,因为蓝色染料的荧光较低,并且比其他染料颜色可以产生更高的非特异性背景。
库存状态:由于 Biotium 提供大量抗体和偶联选择,因此可以订购一抗偶联物。CF® 染料和生物素偶联物的典型交货时间最长为 1 周,荧光蛋白和酶偶联物的交货时间最长为 2-3 周。
抗体编号 0991、Anti-SOX10 (SOX10/991) 的目录编号键
一抗偶联物的目录编号键
| Antibody # prefix | Conjugation | Ex/Em (nm) | Laser line | Detection channel | Dye Features |
|---|---|---|---|---|---|
| BNC04 | CF®405S | 404/431 | 405 | DAPI (microscopy), AF405 | CF®405S Features |
| BNC88 | CF®488A | 490/515 | 488 | GFP, FITC | CF®488A Features |
| BNC68 | CF®568 | 562/583 | 532, 561 | RFP, TRITC | CF®568 Features |
| BNC94 | CF®594 | 593/614 | 561 | Texas Red® | CF®594 Features |
| BNC40 | CF®640R | 642/662 | 633-640 | Cy®5 | CF®640R Features |
| BNC47 | CF®647 | 650/665 | 633-640 | Cy®5 | CF®647 Features |
| BNCB | Biotin | N/A | N/A | N/A | |
| BNUB | Purified | N/A | N/A | N/A | |
| BNUM | Purified, BSA-free | N/A | N/A | N/A |
Alexa Fluor、Pacific Blue、Pacific Orange 和 Texas Red 是 Thermo Fisher Scientific 的商标或注册商标;Cy 是 GE Healthcare 的注册商标;IRDye、LI-COR 和 Odyssey 是 LI-COR Bioscience 的注册商标。







