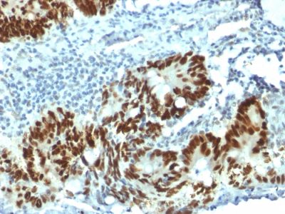
p53 Tumor Suppressor Protein Monoclonal Mouse Antibody (PAb1801)
HuProt™ Array 验证了这种单克隆抗体对其预期靶标的特异性,该阵列包含超过 19,000 个全长人类蛋白质。该 MAb 与野生型和突变 p53 的 N 末端表位 (aa32-79) 发生反应。p53 的突变和/或等位基因缺失是多种间充质和上皮肿瘤的原因之一。如果它发生在生殖系中,则此类肿瘤会在家族中传播。在大多数转化细胞和肿瘤细胞中,p53 的浓度比正常细胞中的微小浓度(1000 个分子细胞)增加了 51000 倍,主要是由于与野生型(20 分钟)相比半衰期(4 小时)增加)。p53 定位于细胞核,但在有丝分裂期间和某些突变调节细胞质/细胞核分布时可在质膜上检测到。突变的平均频率为 70%,但发生率从类癌肺肿瘤的 0 到原发性黑色素瘤的 97% 不等。在轻度紫外线照射后,高浓度的 p53 蛋白在人表皮和浅表真皮成纤维细胞中瞬时表达。据报道,p53 抗体的阳性核染色是乳腺癌、肺癌、结肠直肠癌和尿路上皮癌的阴性预后因素。
一抗可提供纯化的,或带有荧光 CF® 染料和其他标记的选择。CF® 染料具有出色的亮度和光稳定性。有关更多信息,请参阅CF® 染料手册。注意:不推荐使用 CF®405S 和 CF®405M 等蓝色荧光染料的偶联物检测低丰度目标,因为蓝色染料的荧光较低,并且比其他染料颜色可以产生更高的非特异性背景。
库存状态:由于 Biotium 提供大量抗体和偶联选择,因此可以订购一抗偶联物。CF® 染料和生物素偶联物的典型交货时间最长为 1 周,荧光蛋白和酶偶联物的交货时间最长为 2-3 周。
一抗偶联物的目录编号键
| Antibody # prefix | Conjugation | Ex/Em (nm) | Laser line | Detection channel | Dye Features |
|---|---|---|---|---|---|
| BNC04 | CF®405S | 404/431 | 405 | DAPI (microscopy), AF405 | CF®405S Features |
| BNC88 | CF®488A | 490/515 | 488 | GFP, FITC | CF®488A Features |
| BNC68 | CF®568 | 562/583 | 532, 561 | RFP, TRITC | CF®568 Features |
| BNC94 | CF®594 | 593/614 | 561 | Texas Red® | CF®594 Features |
| BNC40 | CF®640R | 642/662 | 633-640 | Cy®5 | CF®640R Features |
| BNC47 | CF®647 | 650/665 | 633-640 | Cy®5 | CF®647 Features |
| BNCB | Biotin | N/A | N/A | N/A | |
| BNUB | Purified | N/A | N/A | N/A | |
| BNUM | Purified, BSA-free | N/A | N/A | N/A |
Alexa Fluor、Pacific Blue、Pacific Orange 和 Texas Red 是 Thermo Fisher Scientific 的商标或注册商标;Cy 是 GE Healthcare 的注册商标;IRDye、LI-COR 和 Odyssey 是 LI-COR Bioscience 的注册商标。



