Myogenin Monoclonal Mouse Antibody (MGN185)
CONJUGATION
产品详情
产品属性
常见问题
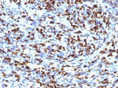
肌细胞生成素是肌源性基本螺旋-环-螺旋 (bHLH) 转录因子 MyoD 家族的成员,该家族还包括 MyoD、Myf-5 和 MRF4(也称为 herculinor Myf-6)。MyoD 家族成员仅在骨骼肌中表达,并通过结合肌肉特异性基因的增强子序列在激活肌生成中发挥关键作用。MyoD 的调节域长度约为 70 个氨基酸,包括基本 DNA 结合基序和 bHLH 二聚化基序。MyoD 家族成员在其 bHLH 基序中共享约 80% 的氨基酸同源性。抗肌细胞生成素标记发育中肌肉组织中成肌细胞的细胞核,并在横纹肌肉瘤和一些平滑肌肉瘤的肿瘤细胞核中表达。Wilms 瘤可能出现核染色阳性。
可提供纯化的一抗,或带有精选的荧光 CF® 染料和其他标记的一抗。CF® 染料具有出色的亮度和耐光性。有关详细信息,请参阅CF® 染料手册。注意:不推荐使用 CF®405S 和 CF®405M 等蓝色荧光染料的偶联物来检测低丰度目标,因为蓝色染料的荧光较低,与其他染料颜色相比可以产生更高的非特异性背景。
库存状态:由于 Biotium 提供大量抗体和偶联物选项,一抗偶联物可能需要定制。CF® 染料和生物素结合物的典型交货时间最长为 1 周,荧光蛋白和酶结合物的交货时间通常为 2-3 周。
抗体编号 0185 的目录号代码,抗肌细胞生成素 (MGN185)
一抗偶联物的目录号
| 抗体#前缀 | 缀合 | Ex/Em (纳米) | 激光线 | 检测通道 | 染料特性 |
|---|---|---|---|---|---|
| BNC04 | CF®405S | 404/431 | 405 | DAPI(显微镜),AF405 | CF®405S 特性 |
| BNC88 | CF®488A | 490/515 | 488 | 绿色荧光蛋白、异硫氰酸 | CF®488A 特点 |
| BNC68 | CF®568 | 562/583 | 532、561 | RFP, TRITC | CF®568 特点 |
| BNC94 | CF®594 | 593/614 | 561 | Texas Red | CF®594 特点 |
| BNC40 | CF®640R | 642/662 | 633-640 | Cy®5 | CF®640R 特点 |
| BNC47 | CF®647 | 650/665 | 633-640 | Cy®5 | CF®647 特性 |
| BNCB | Biotin | N/A | N/A | N/A | |
| BNUB | Purified | N/A | N/A | N/A | |
| BNUM | Purified, BSA-free | N/A | N/A | N/A |
Alexa Fluor、Pacific Blue、Pacific Orange 和 Texas Red 是 Thermo Fisher Scientific 的商标或注册商标;Cy 是 GE Healthcare 的注册商标;IRDye、LI-COR 和 Odyssey 是 LI-COR Bioscience 的注册商标。
产品推荐
TrueBlack® Lipofuscin Autofluorescence Quencher
产品编号:
23007
详细视图
Paraformaldehyde, 4% in PBS, Ready-to-Use Fixative
产品编号:
22023
详细视图
EverBrite™ Mounting Medium
产品编号:
23002
- 23001
详细视图
CoverGrip™ Coverslip Sealant
产品编号:
23005
- 23005-1
详细视图
RedDot™2 Far-Red Nuclear Stain, 200X in DMSO
产品编号:
40061-T
- 40061-1
查看全部
详细视图
AntiFix™ Universal Antigen Retrieval Buffer, 10X
产品编号:
22030-50mL
- 22030-500mL
详细视图



