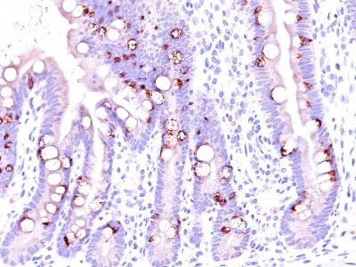
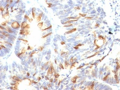
Mucin 2 / MUC2 Monoclonal Mouse Antibody (CCP58)
识别 520 kDa 的单一糖蛋白,确定为粘蛋白 2 (MUC2)。该 MAb 未显示与人乳脂肪球膜、MUC1 或 MUC3 发生交叉反应。其表位被定义为 GTQTP (GlyThrGlnThrPro)。粘蛋白是高分子量糖蛋白,构成保护胃上皮的粘液层的主要成分。MUC2 在小肠和结肠的杯状细胞中特异性表达;在大约 65% 的结肠癌和大约 40% 的胃癌中。MUC2 很少在胃肠道外表达,但乳腺癌粘液癌和卵巢透明细胞癌除外。
可提供纯化的一抗,或带有精选的荧光 CF® 染料和其他标记的一抗。CF® 染料具有出色的亮度和耐光性。有关详细信息,请参阅CF® 染料手册。注意:不推荐使用 CF®405S 和 CF®405M 等蓝色荧光染料的偶联物来检测低丰度目标,因为蓝色染料的荧光较低,与其他染料颜色相比可以产生更高的非特异性背景。
库存状态:由于 Biotium 提供大量抗体和偶联物选项,一抗偶联物可能需要定制。CF® 染料和生物素结合物的典型交货时间最长为 1 周,荧光蛋白和酶结合物的交货时间通常为 2-3 周。
一抗偶联物的目录号
| Antibody # prefix | Conjugation | Ex/Em (nm) | Laser line | Detection channel | Dye Features |
|---|---|---|---|---|---|
| BNC04 | CF®405S | 404/431 | 405 | DAPI (microscopy), AF405 | CF®405S Features |
| BNC88 | CF®488A | 490/515 | 488 | GFP, FITC | CF®488A Features |
| BNC68 | CF®568 | 562/583 | 532, 561 | RFP, TRITC | CF®568 Features |
| BNC94 | CF®594 | 593/614 | 561 | Texas Red® | CF®594 Features |
| BNC40 | CF®640R | 642/662 | 633-640 | Cy®5 | CF®640R Features |
| BNC47 | CF®647 | 650/665 | 633-640 | Cy®5 | CF®647 Features |
| BNCB | Biotin | N/A | N/A | N/A | |
| BNUB | Purified | N/A | N/A | N/A | |
| BNUM | Purified, BSA-free | N/A | N/A | N/A |
Alexa Fluor、Pacific Blue、Pacific Orange 和 Texas Red 是 Thermo Fisher Scientific 的商标或注册商标;Cy 是 GE Healthcare 的注册商标;IRDye、LI-COR 和 Odyssey 是 LI-COR Bioscience 的注册商标。
参考
注意:对于预期的应用,可能会列出其他供应商出售的此克隆的参考资料。
国际癌症杂志 (1997)73:795-801。(ELISA)
胃肠 (2002) 123(3):817-826。(世界银行)
胃肠 (2002) 123(4):1052-1060。(IHC, FFPE)
2002 年 9 月 1 日化学感官 (2019) 44(7):511-521。(如果,冰冻组织切片)




