MRP-14 Monoclonal Mouse Antibody (MRP14/840)
CONJUGATION
产品详情
产品属性
常见问题
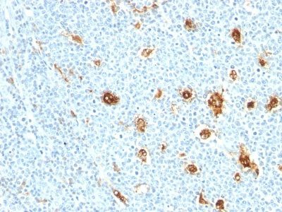
识别一种 14 kDa 的蛋白质,被鉴定为 MRP-14(也称为 Calgranulin B 或 S100AA9)。它包含 60% 的循环多形核粒细胞的细胞质蛋白部分,也存在于单核细胞、巨噬细胞和回肠组织嗜酸性粒细胞中。外周血单核细胞在细胞外和细胞内携带抗原,而中性粒细胞仅在细胞内携带抗原。它是中性粒细胞的有效趋化因子。在与中性粒细胞活性增加相关的疾病(如炎症性肠病)中血浆浓度升高。粒细胞在通过肠壁迁移后终止其存在。因此,它也可在粪便中检测到。在感染和炎症期间,在血浆、唾液、牙龈沟液、粪便和滑液等体液中观察到水平升高。
该抗体可用 200 ug/mL 的 BSA/叠氮化物纯化,或 1 mg/mL 的无 BSA/叠氮化物纯化。
产品推荐
TrueBlack® Lipofuscin Autofluorescence Quencher
产品编号:
23007
详细视图
Paraformaldehyde, 4% in PBS, Ready-to-Use Fixative
产品编号:
22023
详细视图
EverBrite™ Mounting Medium
产品编号:
23002
- 23001
详细视图
CoverGrip™ Coverslip Sealant
产品编号:
23005
- 23005-1
详细视图
RedDot™2 Far-Red Nuclear Stain, 200X in DMSO
产品编号:
40061-T
- 40061-1
查看全部
详细视图
AntiFix™ Universal Antigen Retrieval Buffer, 10X
产品编号:
22030-50mL
- 22030-500mL
详细视图



