MART-1 / Melan-A Monoclonal Mouse Antibody (M2-7C10 + M2-9E3 + A103)
CONJUGATION
产品详情
产品属性
常见问题
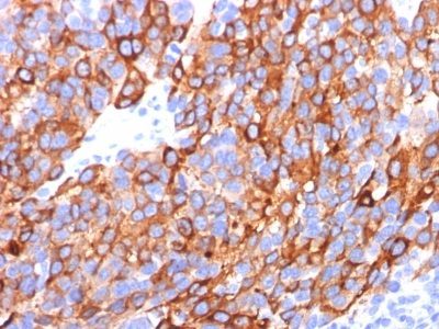
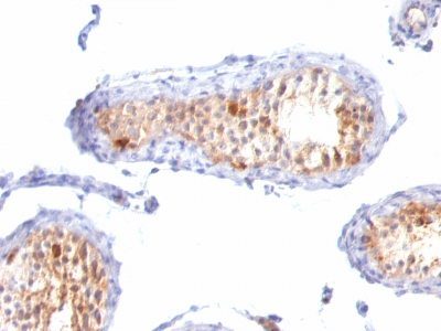
该抗体可识别 20-22 kDa 的蛋白质双联体,被鉴定为 MART-1(T 细胞识别的黑色素瘤抗原 1)或 Melan-A。MART-1 是一种新发现的黑素细胞分化抗原,可被自体细胞毒性 T 淋巴细胞识别。自体细胞毒性 T 细胞识别的其他七种黑色素瘤相关抗原包括 MAGE-1、MAGE-3、酪氨酸酶、gp100、gp75、BAGE-1 和 GAGE-1。亚细胞分级显示 MART-1 存在于黑素体和内质网中。这种 MAb 混合物标记黑色素瘤和其他显示黑色素细胞分化的肿瘤。它也是血管平滑肌脂肪瘤的有用阳性标志物。它不会染色上皮、淋巴、神经胶质或间充质来源的肿瘤细胞。
可提供纯化的一抗,或带有精选的荧光 CF® 染料和其他标记的一抗。CF® 染料具有出色的亮度和耐光性。有关详细信息,请参阅CF® 染料手册。注意:不推荐使用 CF®405S 和 CF®405M 等蓝色荧光染料的偶联物来检测低丰度目标,因为蓝色染料的荧光较低,与其他染料颜色相比可以产生更高的非特异性背景。
库存状态:由于 Biotium 提供大量抗体和偶联物选项,一抗偶联物可能需要定制。CF® 染料和生物素结合物的典型交货时间最长为 1 周,荧光蛋白和酶结合物的交货时间通常为 2-3 周。
抗体编号 0700 的目录号代码,Anti-MART-1 (M2-7C10 M2-9E3 A103)
一抗偶联物的目录号
| 抗体#前缀 | 缀合 | Ex/Em (纳米) | 激光线 | 检测通道 | 染料特性 |
|---|---|---|---|---|---|
| BNC04 | CF®405S | 404/431 | 405 | DAPI(显微镜),AF405 | CF®405S 特性 |
| BNC88 | CF®488A | 490/515 | 488 | 绿色荧光蛋白、异硫氰酸 | CF®488A 特点 |
| BNC68 | CF®568 | 562/583 | 532、561 | RFP, TRITC | CF®568 特点 |
| BNC94 | CF®594 | 593/614 | 561 | Texas Red | CF®594 特性 |
| BNC40 | CF®640R | 642/662 | 633-640 | Cy®5 | CF®640R 特点 |
| BNC47 | CF®647 | 650/665 | 633-640 | Cy®5 | CF®647 特性 |
| BNCB | 生物素 | 不适用 | 不适用 | 不适用 | |
| BNUB | 净化的 | 不适用 | 不适用 | 不适用 | |
| BNUM | 纯化, 不含 BSA | 不适用 | 不适用 | 不适用 |
Alexa Fluor、Pacific Blue、Pacific Orange 和 Texas Red 是 Thermo Fisher Scientific 的商标或注册商标;Cy 是 GE Healthcare 的注册商标;IRDye、LI-COR 和 Odyssey 是 LI-COR Bioscience 的注册商标。
产品推荐
TrueBlack® Lipofuscin Autofluorescence Quencher
产品编号:
23007
详细视图
Paraformaldehyde, 4% in PBS, Ready-to-Use Fixative
产品编号:
22023
详细视图
EverBrite™ Mounting Medium
产品编号:
23002
- 23001
详细视图
CoverGrip™ Coverslip Sealant
产品编号:
23005
- 23005-1
详细视图
RedDot™2 Far-Red Nuclear Stain, 200X in DMSO
产品编号:
40061-T
- 40061-1
查看全部
详细视图
AntiFix™ Universal Antigen Retrieval Buffer, 10X
产品编号:
22030-50mL
- 22030-500mL
详细视图




