Laminin Receptor / RPSA Monoclonal Mouse Antibody (RPSA/2699)
CONJUGATION
产品详情
产品属性
常见问题
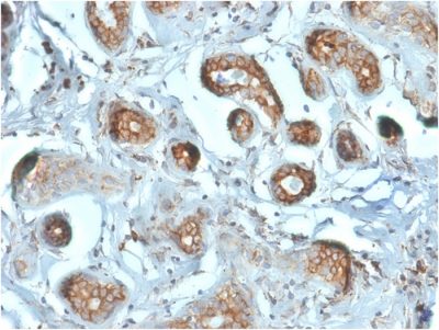
层粘连蛋白是细胞外基质糖蛋白家族,是基底膜的主要非胶原成分。它们涉及多种生物过程,包括细胞粘附、分化、迁移、信号传导、神经突生长和转移。层粘连蛋白的许多作用是通过与细胞表面受体的相互作用介导的。这些受体包括整合素家族的成员,以及非整合素层粘连蛋白结合蛋白。该基因编码高亲和力、非整合素家族层粘连蛋白受体 1。据报道,结肠癌组织和肺癌细胞系中的层粘连蛋白受体转录物水平高于正常对应物。此外,该多肽在癌细胞中的上调与其侵袭性和转移性表型之间存在相关性。
可提供纯化的一抗,或带有精选的荧光 CF® 染料和其他标记的一抗。CF® 染料具有出色的亮度和耐光性。有关详细信息,请参阅CF® 染料手册。注意:不推荐使用 CF®405S 和 CF®405M 等蓝色荧光染料的偶联物来检测低丰度目标,因为蓝色染料的荧光较低,与其他染料颜色相比可以产生更高的非特异性背景。
库存状态:由于 Biotium 提供大量抗体和偶联物选项,一抗偶联物可能需要定制。CF® 染料和生物素结合物的典型交货时间最长为 1 周,荧光蛋白和酶结合物的交货时间通常为 2-3 周。
一抗偶联物的目录号
| 抗体#前缀 | 缀合 | Ex/Em (纳米) | 激光线 | 检测通道 | 染料特性 |
|---|---|---|---|---|---|
| BNC04 | CF®405S | 404/431 | 405 | DAPI(显微镜),AF405 | CF®405S 特性 |
| BNC88 | CF®488A | 490/515 | 488 | 绿色荧光蛋白、异硫氰酸 | CF®488A 特点 |
| BNC68 | CF®568 | 562/583 | 532、561 | RFP, TRITC | CF®568 特点 |
| BNC94 | CF®594 | 593/614 | 561 | Texas Red | CF®594 特性 |
| BNC40 | CF®640R | 642/662 | 633-640 | Cy®5 | CF®640R 特点 |
| BNC47 | CF®647 | 650/665 | 633-640 | Cy®5 | CF®647 特性 |
| BNCB | Biotin | N/A | N/A | N/A | |
| BNUB | Purified | N/A | N/A | N/A | |
| BNUM | Purified, BSA-free | N/A | N/A | N/A |
Alexa Fluor、Pacific Blue、Pacific Orange 和 Texas Red 是 Thermo Fisher Scientific 的商标或注册商标;Cy 是 GE Healthcare 的注册商标;IRDye、LI-COR 和 Odyssey 是 LI-COR Bioscience 的注册商标。
产品推荐
TrueBlack® Lipofuscin Autofluorescence Quencher
产品编号:
23007
详细视图
Paraformaldehyde, 4% in PBS, Ready-to-Use Fixative
产品编号:
22023
详细视图
EverBrite™ Mounting Medium
产品编号:
23002
- 23001
详细视图
CoverGrip™ Coverslip Sealant
产品编号:
23005
- 23005-1
详细视图
RedDot™2 Far-Red Nuclear Stain, 200X in DMSO
产品编号:
40061-T
- 40061-1
查看全部
详细视图
AntiFix™ Universal Antigen Retrieval Buffer, 10X
产品编号:
22030-50mL
- 22030-500mL
详细视图



