Involucrin Recombinant Monoclonal Mouse Antibody (rIVRN/827)
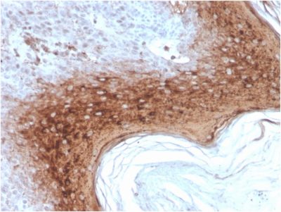
识别 66 kDa-170 kDa 的蛋白质,确定为外皮蛋白。在培养的人角质形成细胞的蛋白质印迹中,该 MAb 与 120 kDa 的蛋白质发生反应。它对各种大小的外皮蛋白进行染色:MCF-7 细胞中为 170 kDa,大猩猩和猫头鹰猴中为 ~115 kDa 和 150 kDa 的双联体,狗为 66 kDa,猪中为 105 kDa 的双联体。其表位位于人外皮蛋白的密码子 421-568 之间。外皮蛋白在一系列复层鳞状上皮细胞中表达,包括缺乏明显角化层的角膜。在正常表皮中,它首先在上棘层表达,而在角质形成细胞培养物中,所有离开基底层的细胞都表达它。外皮蛋白表达在病理条件下发生改变:在牛皮癣和其他良性表皮增生中,外皮蛋白表达开始比正常更接近基底层;在鳞状细胞癌和癌前病变中表达异常,在喉和宫颈的严重发育不良中表达减少。
可提供纯化的一抗,或带有精选的荧光 CF® 染料和其他标记的一抗。CF® 染料具有出色的亮度和耐光性。有关详细信息,请参阅CF® 染料手册。注意:不推荐使用 CF®405S 和 CF®405M 等蓝色荧光染料的偶联物来检测低丰度目标,因为蓝色染料的荧光较低,与其他染料颜色相比可以产生更高的非特异性背景。
库存状态:由于 Biotium 提供大量抗体和偶联物选项,一抗偶联物可能需要定制。CF® 染料和生物素结合物的典型交货时间最长为 1 周,荧光蛋白和酶结合物的交货时间通常为 2-3 周。
一抗偶联物的目录号
| 抗体#前缀 | 缀合 | Ex/Em (纳米) | 激光线 | 检测通道 | 染料特性 |
|---|---|---|---|---|---|
| BNC04 | CF®405S | 404/431 | 405 | DAPI(显微镜),AF405 | CF®405S 特性 |
| BNC88 | CF®488A | 490/515 | 488 | 绿色荧光蛋白、异硫氰酸 | CF®488A 特点 |
| BNC68 | CF®568 | 562/583 | 532、561 | RFP, TRITC | CF®568 特点 |
| BNC94 | CF®594 | 593/614 | 561 | Texas Red | CF®594 特性 |
| BNC40 | CF®640R | 642/662 | 633-640 | Cy®5 | CF®640R 特点 |
| BNC47 | CF®647 | 650/665 | 633-640 | Cy®5 | CF®647 特性 |
| BNCB | Biotin | N/A | N/A | N/A | |
| BNUB | Purified | N/A | N/A | N/A | |
| BNUM | Purified, BSA-free | N/A | N/A | N/A |
Alexa Fluor、Pacific Blue、Pacific Orange 和 Texas Red 是 Thermo Fisher Scientific 的商标或注册商标;Cy 是 GE Healthcare 的注册商标;IRDye、LI-COR 和 Odyssey 是 LI-COR Bioscience 的注册商标。



