HLA-DRB Monoclonal Mouse Antibody (LN-3 + HLA-DRB/1067)
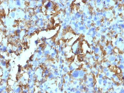
该 MAb 与 HLA-DRB1 抗原的 β 链发生反应,HLA-DRB1 抗原是 MHC II 类分子的成员。它不会与 HLA-DP 和 HLA-DQ 发生交叉反应。HLA-DR 是一种异二聚体细胞表面糖蛋白,由一条 36 kDa α(重)链和一条 28 kDa β(轻)链组成。它在 B 细胞、活化的 T 细胞、单核细胞/巨噬细胞、树突细胞和其他非专职 APC 上表达。结合 CD3/TCR 复合物和 CD4 分子,HLA-DR 对于有效地将肽呈递给 CD4 T 细胞至关重要。它是石蜡切片中极好的组织细胞标记物,可产生强烈的细胞质染色。真正的组织细胞肿瘤同样呈阳性。HLA-DR 抗原也出现在多种上皮细胞及其相应的肿瘤对应物上。
可提供纯化的一抗,或带有精选的荧光 CF® 染料和其他标记的一抗。CF® 染料具有出色的亮度和耐光性。有关详细信息,请参阅CF® 染料手册。注意:不推荐使用 CF®405S 和 CF®405M 等蓝色荧光染料的偶联物来检测低丰度目标,因为蓝色染料的荧光较低,与其他染料颜色相比可以产生更高的非特异性背景。
库存状态:由于 Biotium 提供大量抗体和偶联物选项,一抗偶联物可能需要定制。CF® 染料和生物素结合物的典型交货时间最长为 1 周,荧光蛋白和酶结合物的交货时间通常为 2-3 周。
抗体编号 1208 的目录号代码,抗 HLA-DRB (LN-3 HLA-DRB/1067)
一抗偶联物的目录号
| 抗体#前缀 | 缀合 | Ex/Em (纳米) | 激光线 | 检测通道 | 染料特性 |
|---|---|---|---|---|---|
| BNC04 | CF®405S | 404/431 | 405 | DAPI(显微镜),AF405 | CF®405S 特性 |
| BNC88 | CF®488A | 490/515 | 488 | 绿色荧光蛋白、异硫氰酸 | CF®488A 特点 |
| BNC68 | CF®568 | 562/583 | 532、561 | RFP, TRITC | CF®568 特点 |
| BNC94 | CF®594 | 593/614 | 561 | Texas Red | CF®594 特性 |
| BNC40 | CF®640R | 642/662 | 633-640 | Cy®5 | CF®640R 特点 |
| BNC47 | CF®647 | 650/665 | 633-640 | Cy®5 | CF®647 特性 |
| BNCB | Biotin | N/A | N/A | N/A | |
| BNUB | Purified | N/A | N/A | N/A | |
| BNUM | Purified, BSA-free | N/A | N/A | N/A |
Alexa Fluor、Pacific Blue、Pacific Orange 和 Texas Red 是 Thermo Fisher Scientific 的商标或注册商标;Cy 是 GE Healthcare 的注册商标;IRDye、LI-COR 和 Odyssey 是 LI-COR Bioscience 的注册商标。




