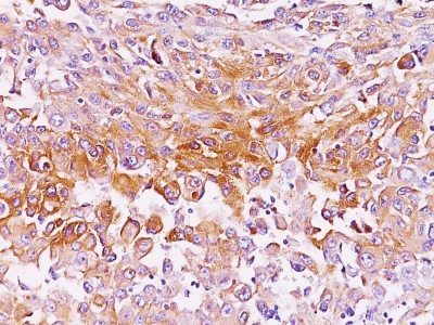
gp100 / Melanosome / PMEL17 / SILV Monoclonal Mouse Antibody (NKI-beteb)
通过免疫组织化学,该抗体可特异性识别黑色素细胞和黑色素瘤中的一种蛋白质。它与交界痣和蓝痣细胞发生反应,并与胎儿和新生儿黑素细胞发生不同程度的反应。皮内痣、正常成人黑色素细胞和非黑色素细胞均为阴性。它不会染色上皮、淋巴、神经胶质或间充质来源的肿瘤细胞。这种 Mab 标记福尔马林固定、石蜡包埋的黑色素瘤和其他显示黑色素细胞分化的肿瘤。
可提供纯化的一抗,或带有精选的荧光 CF® 染料和其他标记的一抗。CF® 染料具有出色的亮度和耐光性。有关详细信息,请参阅CF® 染料手册。注意:不推荐使用 CF®405S 和 CF®405M 等蓝色荧光染料的偶联物来检测低丰度目标,因为蓝色染料的荧光较低,与其他染料颜色相比可以产生更高的非特异性背景。
库存状态:由于 Biotium 提供大量抗体和偶联物选项,一抗偶联物可能需要定制。CF® 染料和生物素结合物的典型交货时间最长为 1 周,荧光蛋白和酶结合物的交货时间通常为 2-3 周。
抗体编号 0226 的目录号代码,Anti-gp100 (NKI-beteb)
一抗偶联物的目录号
| 抗体#前缀 | 共轭 | 防爆/电磁 (nm) | 激光线 | 检测通道 | 染料特性 |
|---|---|---|---|---|---|
| BNC04 | CF®405S | 404/431 | 405 | DAPI(显微镜),AF405 | CF®405S 特性 |
| BNC88 | CF®488A | 490/515 | 488 | 绿色荧光蛋白、异硫氰酸 | CF®488A 特点 |
| BNC68 | CF®568 | 562/583 | 532、561 | RFP, TRITC | CF®568 特点 |
| BNC94 | CF®594 | 593/614 | 561 | Texas Red | CF®594 特性 |
| BNC40 | CF®640R | 642/662 | 633-640 | Cy®5 | CF®640R 特点 |
| BNC47 | CF®647 | 650/665 | 633-640 | Cy®5 | CF®647 特性 |
| BNCB | 生物素 | 不适用 | 不适用 | 不适用 | |
| BNUB | 净化的 | 不适用 | 不适用 | 不适用 | |
| BNUM | 纯化, 不含 BSA | 不适用 | 不适用 | 不适用 |
Alexa Fluor、Pacific Blue、Pacific Orange 和 Texas Red 是 Thermo Fisher Scientific 的商标或注册商标;Cy 是 GE Healthcare 的注册商标;IRDye、LI-COR 和 Odyssey 是 LI-COR Bioscience 的注册商标。
参考
注意:对于预期的应用,可能会列出其他供应商出售的此克隆的参考资料。
Am J Pathol (1988) 130(1): 179.(mAb 表征;IHC、FFPE;IF;ELISA;IP;WB)
Am J Pathol (1993) 143(6):1579。(IHC,冷冻;IF)
J Biol Chem (2004) 279(27):28330-28338。(表位作图;IP;报告 NKI-beteb 对 WB 效果不佳)
Exp Dermatol (2010) 19(8):e282-e285。(如果;流量,细胞内)



