Cytokeratin, Pan Monoclonal Mouse Antibody (PCK/3150)
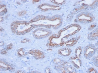
抗细胞角蛋白克隆 PCK/3150 表现出广谱的细胞角蛋白反应性。在正常组织中,PCK/3150 与大多数上皮类型有反应,包括肝脏中的胆管和肝细胞、膀胱上皮、乳腺导管、支气管上皮、子宫内膜、胃的肠上皮、十二指肠、回肠、结肠、直肠、胰腺、卵巢上皮、胰腺腺泡、垂体腺泡、肺细胞、前列腺、甲状腺、皮肤(基底层阳性,鳞状上皮表层阴性),以及大汗腺和汗腺。在肿瘤中,PCK/3150 与大多数癌症有反应,包括乳腺癌、移行细胞 (TCC)、肾细胞 (RCC)、肺腺癌、肺小细胞癌、肺鳞状细胞癌、子宫内膜癌、前列腺癌、卵巢癌、肝细胞癌 (HCC)、结直肠癌CA、胃和甲状腺。它在某些正常组织中呈阴性,包括脑、淋巴细胞和所有造血淋巴源细胞、肌肉、脑、神经、内皮细胞和某些肿瘤,包括大多数黑色素瘤、肉瘤、淋巴瘤、原始神经外胚层肿瘤 (PNET)/Ewings 和胃肠道间质瘤(要旨)。已在淋巴结中的一些树突状细胞、一些内皮细胞和一些肌肉细胞中观察到阳性。
一抗可提供纯化的,或带有荧光 CF® 染料和其他标记的选择。CF® 染料具有出色的亮度和光稳定性。有关更多信息,请参阅CF® 染料手册。注意:不推荐使用 CF®405S 和 CF®405M 等蓝色荧光染料的偶联物检测低丰度目标,因为蓝色染料的荧光较低,并且比其他染料颜色可以产生更高的非特异性背景。
库存状态:由于 Biotium 提供大量抗体和偶联选择,因此可以订购一抗偶联物。CF® 染料和生物素偶联物的典型交货时间最长为 1 周,荧光蛋白和酶偶联物的交货时间最长为 2-3 周。
一抗偶联物的目录编号键
| 抗体#前缀 | 共轭 | 防爆/电磁 (nm) | 激光线 | 检测通道 | 染料特性 |
|---|---|---|---|---|---|
| BNC04 | CF®405S | 404/431 | 405 | DAPI(显微镜),AF405 | CF®405S 特点 |
| BNC88 | CF®488A | 490/515 | 488 | GFP, FITC | CF®488A 特点 |
| BNC68 | CF®568 | 562/583 | 532, 561 | RFP,TRITC | CF®568 特点 |
| BNC94 | CF®594 | 593/614 | 561 | Texas Red | CF®594 特点 |
| BNC40 | CF®640R | 642/662 | 633-640 | Cy®5 | CF®640R 特点 |
| BNC47 | CF®647 | 650/665 | 633-640 | Cy®5 | CF®647 特点 |
| BNCB | Biotin | N/A | N/A | N/A | |
| BNUB | Purified | N/A | N/A | N/A | |
| BNUM | Purified, BSA-free | N/A | N/A | N/A |
Alexa Fluor、Pacific Blue、Pacific Orange 和 Texas Red 是 Thermo Fisher Scientific 的商标或注册商标;Cy 是 GE Healthcare 的注册商标;IRDye、LI-COR 和 Odyssey 是 LI-COR Bioscience 的注册商标。



