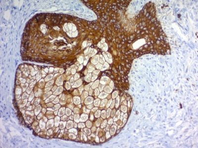
Cytokeratin, Pan Monoclonal Mouse Antibody (Cocktail)
用二维凝胶电泳将 20 种人类角蛋白分解为酸性 (pI 6.0) 亚家族。这种抗体混合物可识别酸性(I 型或 LMW)和碱性(II 型或 HMW)细胞角蛋白,具有 67 kDa (CK1);64 kDa (CK3); 59 kDa (CK4); 58 kDa (CK5); 56 kDa (CK6); 55 kDa (CK7); 52 kDa (CK8); 56.5 kDa (CK10); 53 kDa (CK13); 50 kDa (CK14); 50 kDa (CK15); 48 kDa (CK16); 46 kDa (CK17); 45 kDa (CK18) 和 40 kDa (CK19)。许多研究表明角蛋白在癌症研究和肿瘤诊断中作为标志物的有用性。KRT-PAN 是一种广谱抗泛细胞角蛋白抗体混合物,可区分上皮肿瘤和非上皮肿瘤,例如肺鳞癌和腺癌、肝癌、乳腺癌和食道癌。它可用于表征各种肿瘤的来源并研究在正常发育和上皮肿瘤发育过程中上皮细胞中含有细胞角蛋白的细胞的分布。该抗体可染色存在于正常和异常人体组织中的细胞角蛋白,并在识别上皮细胞和癌方面表现出高灵敏度。
一抗可提供纯化的,或带有荧光 CF® 染料和其他标记的选择。CF® 染料具有出色的亮度和光稳定性。有关更多信息,请参阅CF® 染料手册。注意:不推荐使用 CF®405S 和 CF®405M 等蓝色荧光染料的偶联物检测低丰度目标,因为蓝色染料的荧光较低,并且比其他染料颜色可以产生更高的非特异性背景。
库存状态:由于 Biotium 提供大量抗体和偶联选择,因此可以订购一抗偶联物。CF® 染料和生物素偶联物的典型交货时间最长为 1 周,荧光蛋白和酶偶联物的交货时间最长为 2-3 周。
抗体编号 0999、抗细胞角蛋白、泛(鸡尾酒)的目录编号键
一抗偶联物的目录编号键
| 抗体#前缀 | 共轭 | 防爆/电磁 (nm) | 激光线 | 检测通道 | 染料特性 |
|---|---|---|---|---|---|
| BNC04 | CF®405S | 404/431 | 405 | DAPI(显微镜),AF405 | CF®405S 特点 |
| BNC88 | CF®488A | 490/515 | 488 | GFP, FITC | CF®488A 特点 |
| BNC68 | CF®568 | 562/583 | 532, 561 | RFP,TRITC | CF®568 特点 |
| BNC94 | CF®594 | 593/614 | 561 | Texas Red | CF®594 特点 |
| BNC40 | CF®640R | 642/662 | 633-640 | Cy®5 | CF®640R 特点 |
| BNC47 | CF®647 | 650/665 | 633-640 | Cy®5 | CF®647 特点 |
| BNCB | Biotin | N/A | N/A | N/A | |
| BNUB | Purified | N/A | N/A | N/A | |
| BNUM | Purified, BSA-free | N/A | N/A | N/A |
Alexa Fluor、Pacific Blue、Pacific Orange 和 Texas Red 是 Thermo Fisher Scientific 的商标或注册商标;Cy 是 GE Healthcare 的注册商标;IRDye、LI-COR 和 Odyssey 是 LI-COR Bioscience 的注册商标。







