Chromogranin A Recombinant Monoclonal Mouse Antibody (rCHGA/777)
CONJUGATION
产品详情
产品属性
常见问题
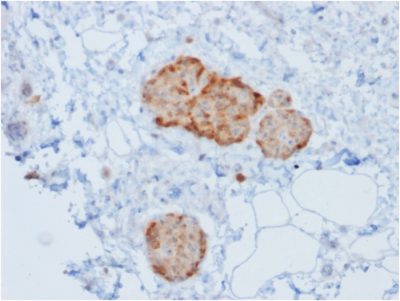
嗜铬粒蛋白 A 存在于全身的神经内分泌细胞中,包括大肠和小肠、肾上腺髓质和胰岛的神经内分泌细胞。它是类癌肿瘤、嗜铬细胞瘤、副神经节瘤和其他神经内分泌肿瘤的极佳标志物。嗜铬粒蛋白 A 和神经元特异性烯醇化酶 (NSE) 的共表达在神经内分泌肿瘤中很常见。据报道,某些角蛋白和嗜铬粒蛋白的共表达表明神经内分泌谱系。存在强抗嗜铬粒蛋白染色和缺乏抗角蛋白染色应增加副神经节瘤的可能性。嗜铬粒蛋白和 NSE 的共表达是神经内分泌肿瘤的典型特征。大多数垂体腺瘤和泌乳素瘤容易表达嗜铬粒蛋白。
一抗可提供纯化的,或带有荧光 CF® 染料和其他标记的选择。CF® 染料具有出色的亮度和光稳定性。有关更多信息,请参阅CF® 染料手册。注意:不推荐使用 CF®405S 和 CF®405M 等蓝色荧光染料的偶联物检测低丰度目标,因为蓝色染料的荧光较低,并且比其他染料颜色可以产生更高的非特异性背景。
库存状态:由于 Biotium 提供大量抗体和偶联选择,因此可以订购一抗偶联物。CF® 染料和生物素偶联物的典型交货时间最长为 1 周,荧光蛋白和酶偶联物的交货时间最长为 2-3 周。
一抗偶联物的目录编号键
| 抗体#前缀 | 共轭 | 防爆/电磁 (nm) | 激光线 | 检测通道 | 染料特性 |
|---|---|---|---|---|---|
| BNC04 | CF®405S | 404/431 | 405 | DAPI(显微镜),AF405 | CF®405S 特点 |
| BNC88 | CF®488A | 490/515 | 488 | GFP, FITC | CF®488A 特点 |
| BNC68 | CF®568 | 562/583 | 532, 561 | RFP,TRITC | CF®568 特点 |
| BNC94 | CF®594 | 593/614 | 561 | Texas Red | CF®594 特点 |
| BNC40 | CF®640R | 642/662 | 633-640 | Cy®5 | CF®640R 特点 |
| BNC47 | CF®647 | 650/665 | 633-640 | Cy®5 | CF®647 特点 |
| BNCB | Biotin | N/A | N/A | N/A | |
| BNUB | Purified | N/A | N/A | N/A | |
| BNUM | Purified, BSA-free | N/A | N/A | N/A |
Alexa Fluor、Pacific Blue、Pacific Orange 和 Texas Red 是 Thermo Fisher Scientific 的商标或注册商标;Cy 是 GE Healthcare 的注册商标;IRDye、LI-COR 和 Odyssey 是 LI-COR Bioscience 的注册商标。
产品推荐
TrueBlack® Lipofuscin Autofluorescence Quencher
产品编号:
23007
详细视图
Paraformaldehyde, 4% in PBS, Ready-to-Use Fixative
产品编号:
22023
详细视图
EverBrite™ Mounting Medium
产品编号:
23002
- 23001
详细视图
CoverGrip™ Coverslip Sealant
产品编号:
23005
- 23005-1
详细视图
RedDot™2 Far-Red Nuclear Stain, 200X in DMSO
产品编号:
40061-T
- 40061-1
查看全部
详细视图
AntiFix™ Universal Antigen Retrieval Buffer, 10X
产品编号:
22030-50mL
- 22030-500mL
详细视图



