Chromogranin A Monoclonal Mouse Antibody (CGA414 + CGA/777 + CGA/798)
CONJUGATION
产品详情
产品属性
常见问题
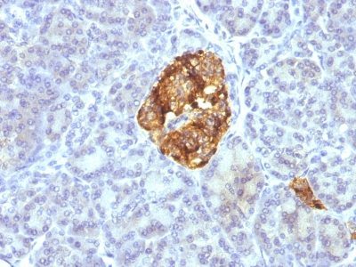
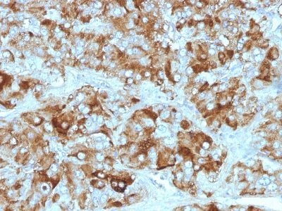
嗜铬粒蛋白 A 存在于全身的神经内分泌细胞中,包括大肠和小肠、肾上腺髓质和胰岛的神经内分泌细胞。它是类癌肿瘤、嗜铬细胞瘤、副神经节瘤和其他神经内分泌肿瘤的极佳标志物。嗜铬粒蛋白 A 和神经元特异性烯醇化酶 (NSE) 的共表达在神经内分泌肿瘤中很常见。据报道,某些角蛋白和嗜铬粒蛋白的共表达表明神经内分泌谱系。存在强抗嗜铬粒蛋白染色和缺乏抗角蛋白染色应增加副神经节瘤的可能性。嗜铬粒蛋白和 NSE 的共表达是神经内分泌肿瘤的典型特征。大多数垂体腺瘤和泌乳素瘤容易表达嗜铬粒蛋白。
一抗可提供纯化的,或带有荧光 CF® 染料和其他标记的选择。CF® 染料具有出色的亮度和光稳定性。有关更多信息,请参阅CF® 染料手册。注意:不推荐使用 CF®405S 和 CF®405M 等蓝色荧光染料的偶联物检测低丰度目标,因为蓝色染料的荧光较低,并且比其他染料颜色可以产生更高的非特异性背景。
库存状态:由于 Biotium 提供大量抗体和偶联选择,因此可以订购一抗偶联物。CF® 染料和生物素偶联物的典型交货时间最长为 1 周,荧光蛋白和酶偶联物的交货时间最长为 2-3 周。
抗体编号 1060、抗嗜铬粒蛋白 A (CGA414 CGA/777 CGA/798) 的目录编号键
一抗偶联物的目录编号键
| Antibody # prefix | Conjugation | Ex/Em (nm) | Laser line | Detection channel | Dye Features |
|---|---|---|---|---|---|
| BNC04 | CF®405S | 404/431 | 405 | DAPI (microscopy), AF405 | CF®405S Features |
| BNC88 | CF®488A | 490/515 | 488 | GFP, FITC | CF®488A Features |
| BNC68 | CF®568 | 562/583 | 532, 561 | RFP, TRITC | CF®568 Features |
| BNC94 | CF®594 | 593/614 | 561 | Texas Red® | CF®594 Features |
| BNC40 | CF®640R | 642/662 | 633-640 | Cy®5 | CF®640R Features |
| BNC47 | CF®647 | 650/665 | 633-640 | Cy®5 | CF®647 Features |
| BNCB | Biotin | N/A | N/A | N/A | |
| BNUB | Purified | N/A | N/A | N/A | |
| BNUM | Purified, BSA-free | N/A | N/A | N/A |






