CD99 Monoclonal Mouse Antibody (HO36-1.1)
CONJUGATION
产品详情
产品属性
常见问题
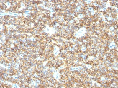
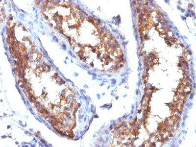
识别 27-32 kDa 的唾液酸糖蛋白,被鉴定为 CD99、MIC2 基因产物或 E2 抗原。MIC2基因位于人类X和Y染色体的假常染色体区域。MIC2 基因编码两种不同的蛋白质,它们是通过 CD99 基因转录物的可变剪接产生的,被鉴定为 30 和 32 kDa (p30/32) 的条带。虽然其功能尚未完全了解,但 CD99 与各种细胞过程有关,包括 T 细胞的同型聚集、T 细胞受体和 MHS 分子的上调、未成熟胸腺细胞的凋亡和白细胞的渗出。CD99 在一些淋巴细胞的细胞膜上表达,皮质胸腺细胞和卵巢颗粒细胞。大多数胰岛细胞、睾丸支持细胞和一些内皮细胞表达这种抗原。成熟的粒细胞表达很少或不表达 CD99。MIC2 在尤文氏肉瘤细胞和原始外周神经外胚层肿瘤中强烈表达。该 MAb 显示出与其他 CD99 MAb(例如 O13、12E7 或 HBA-71)非常相似的反应性,非常适合福尔马林固定、石蜡包埋组织的免疫组织化学染色。
该抗体可用 200 ug/mL 的 BSA/叠氮化物纯化,或 1 mg/mL 的无 BSA/叠氮化物纯化。
产品推荐
TrueBlack® Lipofuscin Autofluorescence Quencher
产品编号:
23007
详细视图
Paraformaldehyde, 4% in PBS, Ready-to-Use Fixative
产品编号:
22023
详细视图
EverBrite™ Mounting Medium
产品编号:
23002
- 23001
详细视图
CoverGrip™ Coverslip Sealant
产品编号:
23005
- 23005-1
详细视图
RedDot™2 Far-Red Nuclear Stain, 200X in DMSO
产品编号:
40061-T
- 40061-1
查看全部
详细视图
AntiFix™ Universal Antigen Retrieval Buffer, 10X
产品编号:
22030-50mL
- 22030-500mL
详细视图




