CD57 / B3GAT1 Monoclonal Mouse Antibody (NK-1 + HNK-1)
CONJUGATION
产品详情
产品属性
常见问题
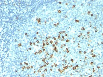
抗 CD57 标记了称为自然杀伤 (NK) 细胞的淋巴细胞亚群。滤泡中心细胞淋巴瘤通常在肿瘤滤泡内含有许多 NK 细胞。抗 CD57 还可染色神经内分泌细胞及其衍生肿瘤,包括类癌瘤和髓母细胞瘤。当与包含针对 GLUT1、CD5 和 CEA 的抗体的组合组合时,抗 CD57 还可用于将 B3 型胸腺瘤与胸腺癌区分开来。
该抗体可用 200 ug/mL 的 BSA/叠氮化物纯化,或 1 mg/mL 的无 BSA/叠氮化物纯化。
产品推荐
TrueBlack® Lipofuscin Autofluorescence Quencher
产品编号:
23007
详细视图
Paraformaldehyde, 4% in PBS, Ready-to-Use Fixative
产品编号:
22023
详细视图
EverBrite™ Mounting Medium
产品编号:
23002
- 23001
详细视图
CoverGrip™ Coverslip Sealant
产品编号:
23005
- 23005-1
详细视图
RedDot™2 Far-Red Nuclear Stain, 200X in DMSO
产品编号:
40061-T
- 40061-1
查看全部
详细视图
AntiFix™ Universal Antigen Retrieval Buffer, 10X
产品编号:
22030-50mL
- 22030-500mL
详细视图



