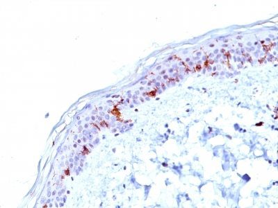
CD1a Monoclonal Mouse Antibody (O10)
至少鉴定出五个 CD1 基因(CD1a、b、c、d 和 e)。CD1 蛋白已被证明可限制 T 细胞对非肽脂质和糖脂抗原的反应,并在非经典抗原呈递中发挥作用。CD1a 是一种非多态性 MHC 1 类相关细胞表面糖蛋白,与 Beta-2 微球蛋白结合表达。抗 CD1a 标记朗格汉斯细胞组织细胞增多症 (Histiocytosis X)、结外组织细胞肉瘤、T 淋巴细胞淋巴瘤/白血病的一个子集和淋巴结的叉指状树突状细胞肉瘤。当与抗 TTF-1 和 CD5 抗体结合时,抗 CD1a 可用于区分肺部和胸腺肿瘤,因为 CD1a 在典型和非典型胸腺瘤的胸腺淋巴细胞中持续表达,但仅集中在 1/6 的胸腺癌中,而不在肺肿瘤的淋巴细胞中。据报道,抗 CD1a 是血管周围上皮细胞肿瘤 (PEComa) 的新标志物。
一抗可提供纯化的,或带有荧光 CF® 染料和其他标记的选择。CF® 染料具有出色的亮度和光稳定性。有关更多信息,请参阅CF® 染料手册。注意:不推荐使用 CF®405S 和 CF®405M 等蓝色荧光染料的偶联物检测低丰度目标,因为蓝色染料的荧光较低,并且比其他染料颜色可以产生更高的非特异性背景。
库存状态:由于 Biotium 提供大量抗体和偶联选择,因此可以订购一抗偶联物。CF® 染料和生物素偶联物的典型交货时间最长为 1 周,荧光蛋白和酶偶联物的交货时间最长为 2-3 周。
抗体编号 0667、抗 CD1a (O10) 的目录编号键
一抗偶联物的目录编号键
| 抗体#前缀 | 共轭 | 防爆/电磁 (nm) | 激光线 | 检测通道 | 染料特性 |
|---|---|---|---|---|---|
| BNC04 | CF®405S | 404/431 | 405 | DAPI(显微镜),AF405 | CF®405S 特点 |
| BNC88 | CF®488A | 490/515 | 488 | GFP, FITC | CF®488A 特点 |
| BNC68 | CF®568 | 562/583 | 532, 561 | RFP,TRITC | CF®568 特点 |
| BNC94 | CF®594 | 593/614 | 561 | Texas Red | CF®594 特点 |
| BNC40 | CF®640R | 642/662 | 633-640 | Cy®5 | CF®640R 特点 |
| BNC47 | CF®647 | 650/665 | 633-640 | Cy®5 | CF®647 特点 |
| BNCB | Biotin | N/A | N/A | N/A | |
| BNUB | Purified | N/A | N/A | N/A | |
| BNUM | Purified, BSA-free | N/A | N/A | N/A |
Alexa Fluor、Pacific Blue、Pacific Orange 和 Texas Red 是 Thermo Fisher Scientific 的商标或注册商标;Cy 是 GE Healthcare 的注册商标;IRDye、LI-COR 和 Odyssey 是 LI-COR Bioscience 的注册商标。



