Blood Group A & Forssman Antigen Monoclonal Mouse Antibody (HE-193)
CONJUGATION
产品详情
产品属性
常见问题
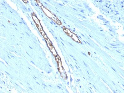
该抗体适用于染色 ABO 血型 A(链类型为 1、2、3、4、5、6 的单岩藻糖基和二岩藻糖基 A 抗原)。它还识别 Forssman 抗原。组织血型 ABO 涉及三种碳水化合物抗原:A、B 和 H。血型抗原通常定义为通过在红细胞和某些上皮细胞上检测到的脂质和蛋白质的碳水化合物侧链连续添加糖而形成的分子。血型相关抗原代表糖脂和糖蛋白上携带的一组碳水化合物决定簇。它们通常是粘蛋白型,可在红细胞、某些上皮细胞和某些个体的分泌物中检测到。十六种基因和生物合成上不同但相互关联的特异性属于这组抗原,包括 A、B、H、Lewis A、
该抗体可用 200 ug/mL 的 BSA/叠氮化物纯化,或 1 mg/mL 的无 BSA/叠氮化物纯化。
产品推荐
TrueBlack® Lipofuscin Autofluorescence Quencher
产品编号:
23007
详细视图
Paraformaldehyde, 4% in PBS, Ready-to-Use Fixative
产品编号:
22023
详细视图
EverBrite™ Mounting Medium
产品编号:
23002
- 23001
详细视图
CoverGrip™ Coverslip Sealant
产品编号:
23005
- 23005-1
详细视图
RedDot™2 Far-Red Nuclear Stain, 200X in DMSO
产品编号:
40061-T
- 40061-1
查看全部
详细视图
AntiFix™ Universal Antigen Retrieval Buffer, 10X
产品编号:
22030-50mL
- 22030-500mL
详细视图



