Bcl-2 Recombinant Monoclonal Rabbit Antibody (BCL2/2210R)
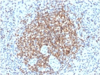
该抗体可识别 25-26 kDa 的蛋白质,被鉴定为 Bcl-2。该抗体与 Bcl-x 或 Bax 蛋白没有交叉反应。Bcl-2 抑制多种细胞系统的细胞凋亡,包括因子依赖性淋巴造血细胞和神经细胞。它通过控制线粒体膜通透性来调节细胞死亡。Bcl-2 似乎在具有半胱天冬酶的反馈回路系统中起作用。它通过阻止细胞色素 c 从线粒体释放和/或通过与凋亡激活因子 (APAF-1) 结合来抑制半胱天冬酶活性。Bcl-2 的表达抑制程序性细胞死亡(细胞凋亡)。在大多数滤泡性淋巴瘤中,肿瘤生发中心表达高水平的 Bcl-2 蛋白,而正常或增生的生发中心是阴性的。最后,这种抗体在区分淋巴结活检中的反应性和肿瘤性滤泡增殖时很有价值。它还可用于区分表达 Bcl-2 蛋白的滤泡性淋巴瘤和少数 Bcl-2 阴性的肿瘤细胞。
一抗可提供纯化的,或带有荧光 CF® 染料和其他标记的选择。CF® 染料具有出色的亮度和光稳定性。有关更多信息,请参阅CF® 染料手册。注意:不推荐使用 CF®405S 和 CF®405M 等蓝色荧光染料的偶联物检测低丰度目标,因为蓝色染料的荧光较低,并且比其他染料颜色可以产生更高的非特异性背景。
库存状态:由于 Biotium 提供大量抗体和偶联选择,因此可以订购一抗偶联物。CF® 染料和生物素偶联物的典型交货时间最长为 1 周,荧光蛋白和酶偶联物的交货时间最长为 2-3 周。
抗体编号 2210、Anti-Bcl-2 (BCL2/2210R) 的目录编号键
一抗偶联物的目录编号键
| 抗体#前缀 | 共轭 | 防爆/电磁 (nm) | 激光线 | 检测通道 | 染料特性 |
|---|---|---|---|---|---|
| BNC04 | CF®405S | 404/431 | 405 | DAPI(显微镜),AF405 | CF®405S 特点 |
| BNC88 | CF®488A | 490/515 | 488 | GFP, FITC | CF®488A 特点 |
| BNC68 | CF®568 | 562/583 | 532, 561 | RFP,TRITC | CF®568 特点 |
| BNC94 | CF®594 | 593/614 | 561 | Texas Red | CF®594 特点 |
| BNC40 | CF®640R | 642/662 | 633-640 | Cy®5 | CF®640R 特点 |
| BNC47 | CF®647 | 650/665 | 633-640 | Cy®5 | CF®647 特点 |
| BNCB | 生物素 | 不适用 | 不适用 | 不适用 | |
| BNUB | 净化的 | 不适用 | 不适用 | 不适用 | |
| BNUM | 纯化, 不含 BSA | 不适用 | 不适用 | 不适用 |
Alexa Fluor、Pacific Blue、Pacific Orange 和 Texas Red 是 Thermo Fisher Scientific 的商标或注册商标;Cy 是 GE Healthcare 的注册商标;IRDye、LI-COR 和 Odyssey 是 LI-COR Bioscience 的注册商标。





