AMACR Polyclonal Rabbit Antibody (PAb)
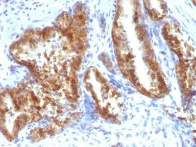
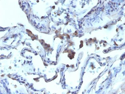
该抗体可识别 42 kDa 的蛋白质,该蛋白质被鉴定为 Alpha-methylacyl-CoA 消旋酶 (AMACR),也称为 p504S。它是一种参与胆汁酸生物合成和支链脂肪酸β-氧化的酶。AMACR 在脂质代谢中是必不可少的。它在癌前高级别前列腺上皮内瘤变 (HGPIN) 和前列腺腺癌的细胞中表达。大多数癌细胞表现出明显的颗粒细胞质染色反应。AMACR 在正常前列腺和良性前列腺增生的腺上皮细胞中以低水平或检测不到的水平存在。在良性腺体的少数细胞中可见斑点状颗粒状细胞质染色。AMACR 在正常肝脏(肝细胞)、肾脏(肾小管上皮细胞)和胆囊(上皮细胞)中表达。在肺(支气管上皮细胞)和结肠(结肠表面上皮细胞)中也发现了表达。AMACR 表达也可见于肝细胞癌和肾癌。过去的研究还表明,AMACR 在各种结肠癌(分化良好、中分化和低分化)中表达,并在前列腺癌中过度表达。
一抗可提供纯化的,或带有荧光 CF® 染料和其他标记的选择。CF® 染料具有出色的亮度和光稳定性。有关更多信息,请参阅CF® 染料手册。注意:不推荐使用 CF®405S 和 CF®405M 等蓝色荧光染料的偶联物检测低丰度目标,因为蓝色染料的荧光较低,并且比其他染料颜色可以产生更高的非特异性背景。
库存状态:由于 Biotium 提供大量抗体和偶联选择,因此可以订购一抗偶联物。CF® 染料和生物素偶联物的典型交货时间最长为 1 周,荧光蛋白和酶偶联物的交货时间最长为 2-3 周。
抗体编号 0731、抗 AMACR (PAb) 的目录编号键
一抗偶联物的目录编号键
| Antibody # prefix | Conjugation | Ex/Em (nm) | Laser line | Detection channel | Dye Features |
|---|---|---|---|---|---|
| BNC04 | CF®405S | 404/431 | 405 | DAPI (microscopy), AF405 | CF®405S Features |
| BNC88 | CF®488A | 490/515 | 488 | GFP, FITC | CF®488A Features |
| BNC68 | CF®568 | 562/583 | 532, 561 | RFP, TRITC | CF®568 Features |
| BNC94 | CF®594 | 593/614 | 561 | Texas Red® | CF®594 Features |
| BNC40 | CF®640R | 642/662 | 633-640 | Cy®5 | CF®640R Features |
| BNC47 | CF®647 | 650/665 | 633-640 | Cy®5 | CF®647 Features |
| BNCB | Biotin | N/A | N/A | N/A | |
| BNUB | Purified | N/A | N/A | N/A | |
| BNUM | Purified, BSA-free | N/A | N/A | N/A |
Alexa Fluor、Pacific Blue、Pacific Orange 和 Texas Red 是 Thermo Fisher Scientific 的商标或注册商标;Cy 是 GE Healthcare 的注册商标;IRDye、LI-COR 和 Odyssey 是 LI-COR Bioscience 的注册商标。




