Emerin Monoclonal Mouse Antibody (EMD/2168)
CONJUGATION
产品详情
产品属性
常见问题
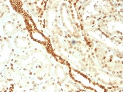
Emerin 是核层相关蛋白家族的成员。它在正常细胞中普遍表达并定位于核膜。编码 Emerin 的基因突变导致 X 连锁隐性疾病 Emery-Dreifuss 肌营养不良症 (EDMD),其特征是缓慢进展的挛缩、骨骼肌萎缩和心肌病。据报道,缺乏 Emerin 表达是 EDMD 的原因之一。Emerin 参与核膜与椎板的结合,并专门定位于心脏中的桥粒和筋膜贴壁。据报道,用抗emerin抗体鉴定核膜不规则性可用于诊断甲状腺乳头状癌。
一抗可提供纯化的,或带有荧光 CF® 染料和其他标记的选择。CF® 染料具有出色的亮度和光稳定性。有关更多信息,请参阅CF® 染料手册。注意:不推荐使用 CF®405S 和 CF®405M 等蓝色荧光染料的偶联物检测低丰度目标,因为蓝色染料的荧光较低,并且比其他染料颜色可以产生更高的非特异性背景。
库存状态:由于 Biotium 提供大量抗体和偶联选择,因此可以订购一抗偶联物。CF® 染料和生物素偶联物的典型交货时间最长为 1 周,荧光蛋白和酶偶联物的交货时间最长为 2-3 周。
抗体编号 2168、抗 Emerin (EMD/2168) 的目录编号键
一抗偶联物的目录编号键
| Antibody # prefix | Conjugation | Ex/Em (nm) | Laser line | Detection channel | Dye Features |
|---|---|---|---|---|---|
| BNC04 | CF®405S | 404/431 | 405 | DAPI (microscopy), AF405 | CF®405S Features |
| BNC88 | CF®488A | 490/515 | 488 | GFP, FITC | CF®488A Features |
| BNC68 | CF®568 | 562/583 | 532, 561 | RFP, TRITC | CF®568 Features |
| BNC94 | CF®594 | 593/614 | 561 | Texas Red® | CF®594 Features |
| BNC40 | CF®640R | 642/662 | 633-640 | Cy®5 | CF®640R Features |
| BNC47 | CF®647 | 650/665 | 633-640 | Cy®5 | CF®647 Features |
| BNCB | Biotin | N/A | N/A | N/A | |
| BNUB | Purified | N/A | N/A | N/A | |
| BNUM | Purified, BSA-free | N/A | N/A | N/A |
Alexa Fluor、Pacific Blue、Pacific Orange 和 Texas Red 是 Thermo Fisher Scientific 的商标或注册商标;Cy 是 GE Healthcare 的注册商标;IRDye、LI-COR 和 Odyssey 是 LI-COR Bioscience 的注册商标。
产品推荐
dUTP CF® Dye Conjugates
产品编号:
40004-T
- 40003
查看全部
详细视图
TUNEL Assay Apoptosis Detection Kit
产品编号:
30063
- 30074
查看全部
详细视图
Biotin-11-dUTP, 1 mM Solution
产品编号:
40029
详细视图
Cyanine Dye dUTP
产品编号:
40064
- 40065
详细视图
5-Aminoallyl-UTP, Sodium Salt, 10 mM Solution
产品编号:
40021
详细视图
TrueBlack® Lipofuscin Autofluorescence Quencher
产品编号:
23007
详细视图
Paraformaldehyde, 4% in PBS, Ready-to-Use Fixative
产品编号:
22023
详细视图
EverBrite™ Mounting Medium
产品编号:
23002
- 23001
详细视图
CoverGrip™ Coverslip Sealant
产品编号:
23005
- 23005-1
详细视图
RedDot™2 Far-Red Nuclear Stain, 200X in DMSO
产品编号:
40061-T
- 40061-1
查看全部
详细视图
AntiFix™ Universal Antigen Retrieval Buffer, 10X
产品编号:
22030-50mL
- 22030-500mL
详细视图








